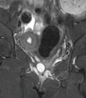
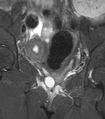
Uterine anomalies in pregnancyByAnne-Marie Amies Oelschlager, MDDecember 7th 2022Clinical pearls for assessment and management of the pregnant patient with a uterovaginal anomaly.