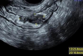
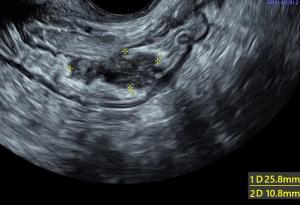
Ultrasound images: Gynecologic diagnoses (Part 1)ByBeryl R. Benacerraf, MDJuly 11th 2019The first slideshow of our gynecologic ultrasound collection reviews commonly missed diagnoses and offers tips for recognizing them on ultrasound.
Gynecologic ultrasound primer: How not to miss the diagnosisByBeryl R. Benacerraf, MDJune 18th 2019An expert in ultrasonography offers a five-step approach to using imaging effectively to deliver high-quality patient care.