News
Media
PodcastsCase Based Peer PerspectivesClinical Forum InsightsInsightsInvestigator PerspectivesMedical World NewsPeer ExchangePeers & PerspectivesVideos
Conferences
Conference CoverageConference Listing
Publications
Contemporary OB/GYN® JournalDigital Supplements
More
CME/CE
Resources
Physician Fact SheetsInteractive ToolsSponsored MediaSponsored ResourcesSupplements and Featured Publications
About
Partnerships

Subscribe

  • News
  • Media
  • Conferences
  • Publications
  • CME/CE
  • Resources
  • Subscribe
  • About
  • Partnerships
  • Breast Health
  • COVID-19
  • Cervical Health
  • Contraception
  • Curbside Consults
  • Dermatology
  • Drug Pipeline News
  • Endometriosis
  • Genetic Testing
  • Gynecology
    • Gynecologic Oncology
  • Imaging
    • Fetal Imaging
    • Abnormal Obstetrical Ultrasound
    • MRI
    • Ultrasound
    • Women's Imaging
    • Breast Imaging
    • Women's Ultrasound
  • Infertility
  • LARC
  • Legally Speaking
  • Life Transitions
  • Malpractice
  • Menopause
  • Mental Health
  • Noninvasive Prenatal Testing
  • Obstetrics
  • Opinion
  • Osteoporosis
  • Pediatrics
  • Practice Management
  • Pregnancy and Birth
  • Sexual Health
  • Sexually Transmitted Infections
  • Surgery
  • Technology
  • Urology
  • Uterine Fibroids
  • Vulvovaginal Disease
  • Well Woman
Advertisement

Jaydeep Gandhi, MD

Advertisement

Articles by Jaydeep Gandhi, MD

DailyDx: An Obstetric Quiz

ByJaydeep Gandhi, MD
March 27th 2012

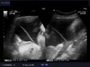
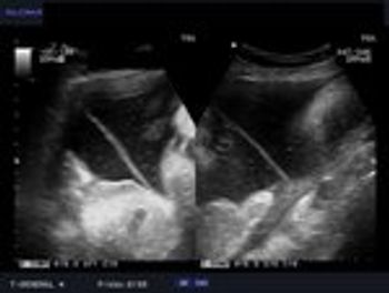
These are ultrasound images from a 2nd trimester pregnancy.

Advertisement

Latest Updated Articles

  • DailyDx: An Obstetric Quiz
    DailyDx: An Obstetric Quiz

    Published: March 27th 2012 | Updated:



Advertisement
Advertisement

Trending on Contemporary OB/GYN

1

Review finds no evidence linking prenatal paracetamol use to increased risk of autism, ADHD

2

FDA approves 5-year use for etonogestrel implant 68 mg contraceptive

3

LPCN 1154 for postpartum depression continues clinical process after safety review

4

Interim safety data of RSVpreF vaccination during pregnancy, with Ashley Michnick, PharmD, PhD

5

Jennifer Karlin, MD, PhD, explains barriers, biases for user-administered injectable contraceptives

  • Advertise
  • Contact Us
  • Job Board
  • Terms of Use
  • Privacy Policy
  • Do Not Sell My Personal Information
Contact Info

259 Prospect Plains Rd, Bldg H
Cranbury, NJ 08512

609-716-7777

Brand Logo

© 2025 MJH Life Sciences®

All rights reserved.

Home
About Us
News
Contact Us