
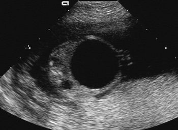
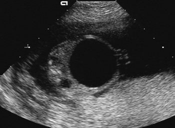
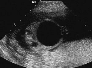
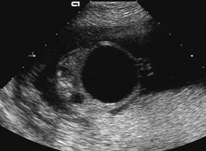
Fetal megavesica is a rare syndrome caused by morphological or functional obstruction of the fetal urethra. It is the textbook example of a single cause producing a sequence of changes in fetal development.

Fetal megavesica is a rare syndrome caused by morphological or functional obstruction of the fetal urethra. It is the textbook example of a single cause producing a sequence of changes in fetal development.

Published: July 19th 2011 | Updated: