
Luis Kushner-Davalos
Advertisement
Articles by Luis Kushner-Davalos

Advertisement
Latest Updated Articles
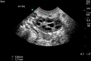
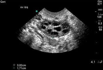
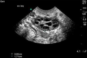
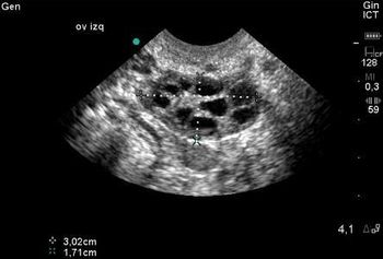
Polycystic ovary, transvaginal ultrasound 3th day of period clinical signs of insulin resistancePublished: June 15th 2011 | Updated:
Advertisement
Advertisement
Trending on Contemporary OB/GYN
1
DARE to PLAY sildenafil cream becomes commercially available for women in select states
2
HMI-115 shows promising pain relief in endometriosis patients
3
High costs and transfusions linked to acute heavy menstrual bleeding
4
George L. Maxwell, MD, discusses phase 3 SUNFLOWER trial to evaluate Mirena for nonatypical endometrial hyperplasia
5

