
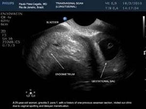
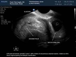
This is a confirmed case of scar ectopic pregnancy. Yesterday, I carried out this exam in an emergency room, without much time to perform an adequate sonogram, the patient did not feel good with “cramps” but no signs of bleeding.

This is a confirmed case of scar ectopic pregnancy. Yesterday, I carried out this exam in an emergency room, without much time to perform an adequate sonogram, the patient did not feel good with “cramps” but no signs of bleeding.

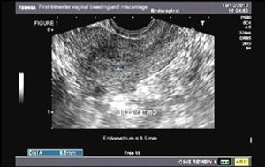
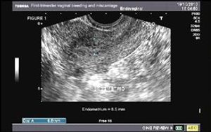
Sagittal image from a transvaginal sonogram in a patient with bleeding after a spontaneous abortion. The endometrium (between cursors) was thick and heterogeneous, measuring 8.5 mm in thickness (Fig1). Color doppler image in same patient shows focal flow (Fig. 2 - arrow) within the heterogeneous endometrium.

Published: June 15th 2011 | Updated:

Published: June 15th 2011 | Updated: