
Saied Mohamed Tohamy
Advertisement
Articles by Saied Mohamed Tohamy
Advertisement
Latest Updated Articles
Multiplanar Reconstruction Proliferative EndometriumPublished: June 15th 2011 | Updated:
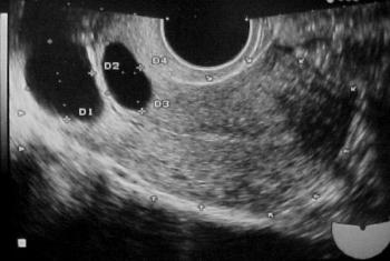
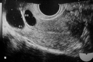
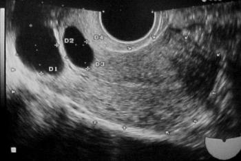
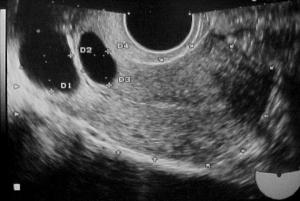
SAG Uterus (Transvaginal) Nabothian CystsPublished: June 15th 2011 | Updated:
Multiplanar 3D Reconstruction Cervical Ectopic PregnancyPublished: June 16th 2011 | Updated:
3D Surface Reconstruction OmphalocelePublished: June 16th 2011 | Updated:
3D Surface Reconstruction HydrocephalusPublished: June 16th 2011 | Updated:
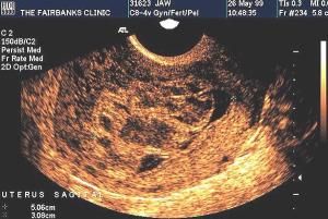
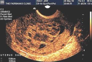
SAG Uterus (Transvaginal) Incomplete Hydatidiform MolePublished: June 15th 2011 | Updated:
Advertisement
Advertisement
Trending on Contemporary OB/GYN
1
Justin Drake, PhD, discusses the latest research on a protein-based liquid biopsy to detect early breast cancer
2
Joyce Slingerland, MD, PhD, notes how estrone and obesity impact breast cancer risk postmenopause
3
Genevieve Neal-Perry, MD, PhD, discusses new nonhormonal treatments for hot flashes
4
Matthew Nudy, MD, discusses breast arterial calcification and cardiovascular risk
5














