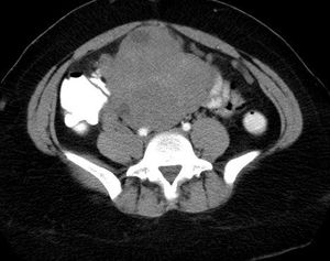
Endometrial Stromal SarcomaBySushila Ladumor, MDMay 31st 2011Endometrial stromal sarcoma (ESS) is a rare malignant tumor of the endometrium, occurring in the age group of 40-50 years.