
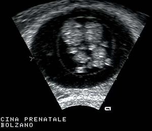
In a transvaginal coronal plane, you can see on the left-hand side of the fundus a flourishing pregnancy with an embryo of 9 weeks. In the last pictures of the clip a thin hypoechogenic endomiometrial layer is more easily seen.

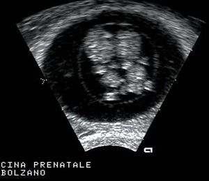
In a transvaginal coronal plane, you can see on the left-hand side of the fundus a flourishing pregnancy with an embryo of 9 weeks. In the last pictures of the clip a thin hypoechogenic endomiometrial layer is more easily seen.



Published: July 14th 2011 | Updated:

Published: June 16th 2011 | Updated:

Published: June 16th 2011 | Updated: