
Heavy menstrual bleeding in the years leading up to menopause may resolve spontaneously without treatment with surgery or drugs, according to a British study of more than 2,000 women.

Heavy menstrual bleeding in the years leading up to menopause may resolve spontaneously without treatment with surgery or drugs, according to a British study of more than 2,000 women.

Engaging in 6 months of regular ?robic workouts may help women to reduce the mood changes, irritability, and vasomotor symptoms that often accompany the transition to menopause, Finnish researchers report.

A 39-year old G1P0 is at 30 weeks' gestation. Her pregnancy has been uncomplicated, with a normal cardiovascular system and anatomy scan. She has no underlying medical disorders. What are the risks of antepartum stillbirth associated with advanced maternal age?

The association between the human papillomavirus (HPV) and cervical cancer has been well established. Ongoing research and interest have led to the development and improvement of screening methods and preventive vaccines that have effected an overall decrease in incidence rates of cervical cancer, especially in developed countries. In addition, the recently developed prophylactic vaccines against HPV provide the potential benefit of reducing cytologic abnormalities, leading to fewer referrals for colposcopy and excisional procedures.

The 34-year-old patient was admitted to the defendant hospital for a repeat c?sarean delivery at 39 weeks' gestation. She has no significant past medical or surgery history. According to a perinatal admission form, she had 2 daughters: a 13-year-old, born at a nonparty hospital by cesarean delivery following breech presentation and a 7-year-old, born at the defendant hospital after a failed vaginal birth after prior cesarean,. The preanesthesia evaluation noted that she had also had 2 prior ectopic pregnancies.

The optimal management of a woman with an ovarian adnexal mass remains a clinical challenge to obstetricians, gynecologists, and other providers who care for women.

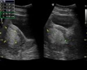
I have been teaching gynecologic ultrasound for 25 years and espousing the virtues of saline infusion sonohysterography (SIS) for more than 20. And almost since the introduction of global endometrial ablation (GEA) devices, at various ultrasound courses and conferences, I have virtually always been asked, "What do I do with the patient who has had a global endometrial ablation and now has irregular bleeding premenopausally or any bleeding postmenopausally?"

Compared with those who abstain, women who consume a glass of wine, beer, or a mixed drink each day have a modestly lower risk of ischemic and hermorrhagic strokes, a study from Brigham and Women's Hospital reports.

While the field of cancer genetics may seem pretty rececnt, ancient Greek physicians observed that the occurrence of breast cancer was more common in certain families. In the late 1800s, Paul Broca, the famous French surgeon and anthropologist best known for discovering the speech production center in the frontal lobe, was one of the first to formally recognize genetic pedigrees in breast cancers.

Women whose first pregnancy occurred during adolescence face an increased likelihood of postmenopausal osteoporosis and osteoporsis-related fracture, according to a Korean study.

Physiologic developments associated with pregnancy, including increased blood volume and hormonal changes, appear to increase both the risk and severity of acute myocaridal infarction during pregnancy and as long as 3 months postpartum, according to research presented at the 61st Annual Scientific Session of the American College of Cardiology in Chicago, March 24-27.

Delivering a small-for gestational-age (SGA) baby in a first pregnancy almost doubles the risk of a stillborn baby in a second pregnancy, and when the first baby is born premature, the risk increases more than 5-fold.

Although the amount of experience a surgeon has in laparoscopic hysterectomy is directly associated with the quality of the outcomes, intrinsically good surgical skills may be a bigger factor.

Not taking vitamins or supplements containing folic acid around the time of conception may double the risk of heart and noncardiac birth defects in children of women with diabetes mellitus.

In spite of widespread information about IUDs, many healthcare providers don't prescribe them because of misconceptions about their safety in nulliparous women and lack of knowledge about implanting them.

Nonsteroidal antiinflammatory drugs are relatively safe during pregnancy, according to new research published in the American Journal of Obstetrics and Gynecology.

In the largest study to date looking at botulinum toxin for this use, the agent was found to an effective and safe treatment option for detrusor overactivity (DO). The results can be found in European Urology.

The evaluation and purchase of long-term disability insurance is more complex than most insurance companies and agents will tell you. Policy language can be confusing and contradictory and the coverage itself varies substantially from one contract to another. An insured person who has not paid close attention at the time he or she purchased the insurance may seriously regret that fact later on.

A recently published survey indicates that ob/gyns fail to routinely ask their patients about sexual problems, orientation, or sexual satisfaction, even though they routinely ask about sexual activity.

These are ultrasound images from a 2nd trimester pregnancy.

Which pharmacological and nonpharmacological options are safe and effective in reducing pain during labor?

According to new research, ST analysis for intrapartum monitoring can be a helpful tool that reduces operative deliveries and the need for additional fetal blood sampling. The results were published in a recent issue of Obstetrics & Gynecology.

A Danish study suggests that the intensity of a woman?s workout may influence how quickly she becomes pregnant.

Scientific evidence does not support annual Pap tests in most women, according to new cervical cancer screening guidelines issued by the United States Preventive Services Task Force.

Women who are overweight before pregnancy predispose their children to developing cardio-metabolic syndrome as young adults.

There is a good deal of emerging literature concerning the new automated multi-arrays utilizing peripheral blood samples for the identification of genetic abnormalities. Testing for 100 or more occult genetic disorders can now be rapidly processed by automated machinery with highly reproducible and reliable results.

OB/GYN physicians work hard every day. Making sure you get paid what you are due is a critical success factor for all physician practices. In 2012, industry experts estimate that 30% of total medical revenue will be collected from patients due to the increasing dollar thresholds for patient deductibles.

The North American Menopause Society has recently endorsed a flexible approach to the use of HRT that takes into account the individual patient’s needs, the type and timing of the therapy.

Premenstrual dysphoric disorder lasts longer than originally thought and is associated with at least four significant symptoms, according to a new research published in the Archives of General Psychiatry.

Although uterine leiomyomas are benign tumors, its symptoms, including anemia, excessive vaginal bleeding, pelvic pain, pressure-related bowel and bladder dysfunction, recurrent miscarriage and preterm labor, can severely negatively impact patients’ quality of life. Since uterine leiomyomas are three to four times more common in African-American patients, and since African-American women have 10 times higher incidence of hypovitaminosis D than white women, researchers sought to explore the impact of vitamin D3 on uterine leiomyomas.