
QUIZ: What is your diagnosis based on these fetal echo images?

QUIZ: What is your diagnosis based on these fetal echo images?

QUIZ: What's causing the compression of the fetal heart (tubular shaped), ascites and dilated trachea?

QUIZ: These images show something isn't quite right in a woman who is 34 weeks pregnant.

QUIZ: These images of the fetal eyes reveal a clue about the mother's health.

These images from a routine ultrasound examination of a 20-week fetus reveal a rare abnormality of the fetal spine.

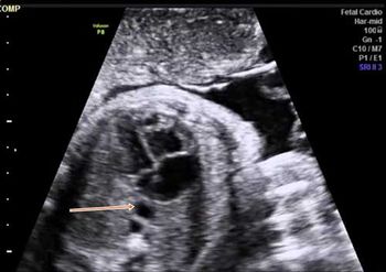
QUIZ: These images are of the fetal heart reveal an abnormality. Can you identify it?

QUIZ: These images are of the jugular area in a first-trimester fetus. What do they tell you?

QUIZ: These images show some changes in the placenta of a 34-week pregnancy. Are they anything to worry about?

QUIZ: These images reveal a specific structure of the fetal eye. Can you identify it?

These images of a fetal brain from a routine ultrasound examination at 22 weeks' gestation revealed a rare congenital brain abnormality.

QUIZ: These images reveal a defect in the fetal head. What do you see?

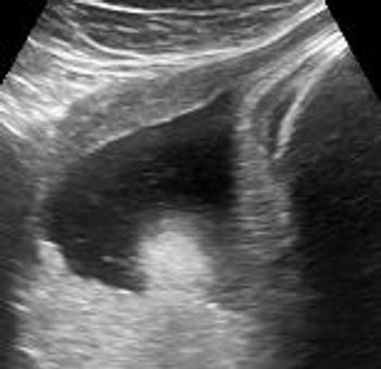
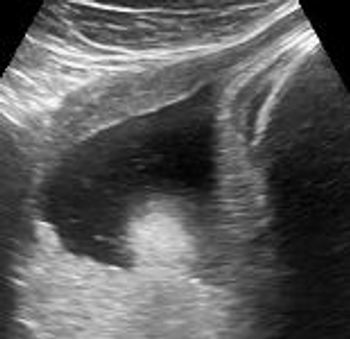
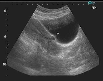
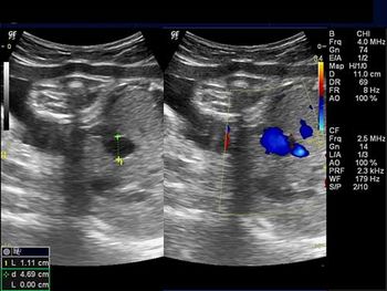
QUIZ: These images are from a young woman with pelvic pain. What do you see?

QUIZ: These images are from a patient who has had a c-section. What do you see?

Do these images of the fetal brain point to a congenital anomaly or something else?

This second-trimester fetus has a renal abnormality. Can you identify it?

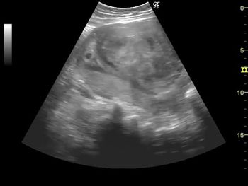
Challenge your diagnostic skills. What's your diagnosis based on these fetal abdominal images?

Challenge your diagnostic skills. What's your diagnosis based on these abdominal images of a late second trimester fetus?

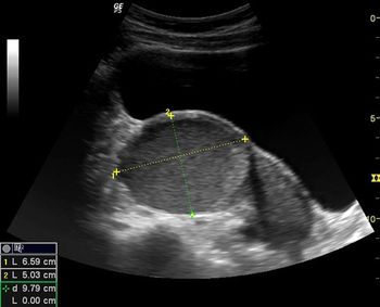
Challenge your diagnostic skills. What uterine-related findings are revealed in this pelvic scan?

This 18-week fetus has a vascular anomaly. Can you identify it?

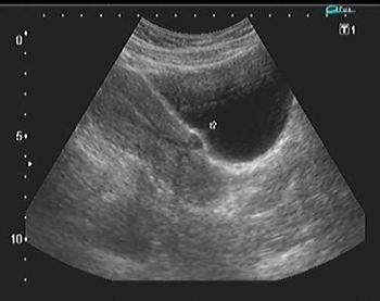
This uterus is anything but normal, but it still seems to function. What's your diagnosis?

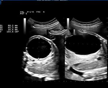
This image quiz focuses on the kidneys. Can you identify the abnormality seen in these ultrasound images of the fetal abdomen?

Challenge your diagnostic skills: Can you identify the condition causing the abnormality seen in these images of the fetal neck?

Challenge your anatomy skills: Can you identify the structure of interest in these images of the fetal thorax?

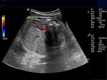
Challenge your diagnostic skills: What's going on with the kidneys in this fetus?

Challenge your diagnostic skills: Is everything normal in this fetal abdomen?

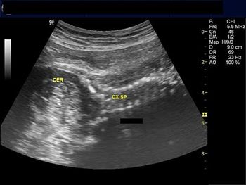
Challenge your diagnostic skills: What's the diagnosis and prognosis based on these images of the fetal brain in a third trimester pregnancy?

Challenge your diagnostic skills: Is everything fine with this third trimester pregnancy?

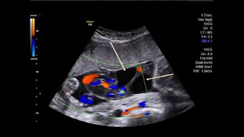
Challenge your diagnostic skills: What's causing this woman's pelvic discomfort?

Challenge your diagnostic skills: What's going on with this umbilical cord?

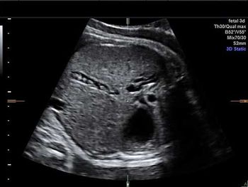
Challenge your anatomy knowledge; what body part is this 3-D image showing?

Published: June 24th 2011 | Updated:

Published: May 1st 2011 | Updated:

Published: May 12th 2011 | Updated:

Published: July 11th 2011 | Updated:

Published: July 14th 2011 | Updated:

Published: July 14th 2011 | Updated: