
Challenge your diagnostic skills: Can you identify the highlighted structure?

Challenge your diagnostic skills: Can you identify the highlighted structure?

A routine ultrasound exam reveals unexpected findings in the lungs of a 29-week fetus. What’s your diagnosis?

Challenge your diagnostic skills: Can you identify this rare congenital malformation in the fetal abdomen?

Challenge your diagnostic skills: Can you identify this structure in the fetal thorax?

Challenge your diagnostic skills: What is the cause of this young woman’s irregular menses?

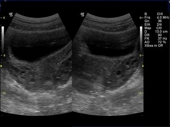
Challenge your diagnostic skills with this image quiz: Is this ovarian lesion cystic in nature or something else?


What abnormality of the placenta is affecting this late second-trimester pregnancy?

There’s something wrong with this first-trimester pregnancy. Can you identify it?

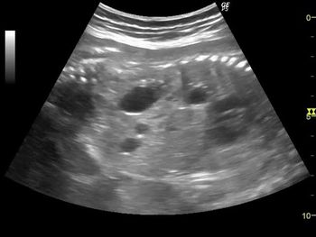
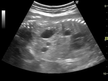
Can you identify the cause of abnormal vaginal bleeding in this middle-aged woman?







At 34 weeks’ gestation, a pregnant woman underwent a routine ultrasound examination. The findings revealed an unusual anomaly. Can you identify it?



What's your diagnosis based on these images of the fetal neck?


What is your diagnosis based on these images of the fetal heart?

When a 35-year-old woman presented for her first ultrasound at 30 weeks’ gestation, the images revealed a very rare condition. Can you identify it?

What is your diagnosis based on these images from a young woman with irregular menses?

What is your diagnosis based on these images from a 35-week fetus?

What is your diagnosis of this major pathology in a second trimester fetus?


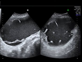
What is your diagnosis in this 7-year-old girl who presented with left pelvic pain?

What is your diagnosis of this facial anomaly in a 24-week fetus?

A 40-year-old woman reports a 20-week history of amenorrhea. What is your diagnosis based on these images?