
Challenge your diagnostic skills with these images from a young woman with right pelvic pain and a history of amenorrhea.

Challenge your diagnostic skills with these images from a young woman with right pelvic pain and a history of amenorrhea.

Challenge your diagnostic skills with these images of a third trimester pregnancy. Can you identify the "incidental" findings?

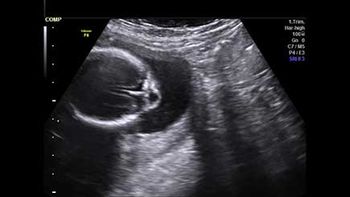
Challenge your diagnostic skills with these images of a pelvic mass.

Challenge your diagnostic skills with these images of the left hemipelvis of a young woman.

Challenge your diagnostic skills with these images of fetal kidneys.

Challenge your diagnostic skills with this image of a fetal head.

Challenge your diagnostic skills: See anything out of the ordinary in the kidneys of this third trimester fetus?

Challenge your diagnostic skills: See anything out of the ordinary in this second trimester fetal heart study?

Challenge your diagnostic skills: See anything atypical with this 8-week pregnancy?

Challenge your diagnostic skills: Do these images depict normal limb growth?

Challenge your diagnostic skills: What’s the source of pain in this middle-aged woman?

Challenge your diagnostic skills: Anything unusual about this fetal head?

Challenge your diagnostic skills: Anything notable in these images of a fetal heart?

Challenge your diagnostic skills: What’s causing this bubble-like bulge?

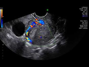
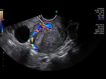
Challenge your diagnostic skills: What abnormality do you see in this woman with a history of ectopic pregnancy?

After a discrepancy between gestational age and fundal height, an ultrasound exam revealed one of the most common congenital tumors deriving from germ cells.

Challenge your diagnostic skills: What abnormality do you see in this late second trimester fetus?

Challenge your diagnostic skills: Are these normal findings?

Challenge your diagnostic skills: Is this fetal heart normal or abnormal?

Challenge your anatomy skills: Can you identify the spinal structure?

Challenge your diagnostic skills: What’s odd about this 16-week pregnancy?

Challenge your diagnostic skills: Can you identify the cause of this woman’s pelvic pain?

Challenge your diagnostic skills: Can you identify this finding in the fetal abdomen?

Challenge your diagnostic skills: Can you identify this finding in the fetal chest?

A routine ultrasound exam of a 28-week fetus revealed what looked to be a cystic lesion. The addition of Doppler, however, changed the diagnostic picture.

Challenge your diagnostic skills: Can you identify this incidental finding in an elderly postmenopausal woman?

Challenge your diagnostic skills: Can you identify this anomaly of the fetal face and brain?

Challenge your diagnostic skills: Can you identify this anomaly?

Challenge your diagnostic skills: Can you identify this well-known anomaly?

Challenge your diagnostic skills: Can you identify this cardiac defect?