
What is your diagnosis of this incidental finding during routine ultrasonography in a 15-week fetus?

What is your diagnosis of this incidental finding during routine ultrasonography in a 15-week fetus?

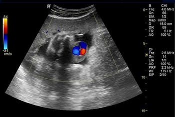
What is your diagnosis in this woman who presents with right hemipelvis pain?

What is your diagnosis in this middle-aged woman with abnormal vaginal bleeding?

What is your diagnosis based on these images of a 32-week pregnancy?

What is your diagnosis in this 3rd trimester fetus? Choose one from the following:

From these images, what would you diagnose in this patient?

What is the correct diagnosis based on these images?

Ultrasound images of the fetal face and eyes are shown below. What is your diagnosis?

When this 32-year-old woman went for an ultrasound at 27-weeks into her pregnancy, a rare anomaly was found. Can you diagnose it?

What is your diagnosis based on these images?

This middle-aged woman has a history of dysmenorrhea. What is your diagnosis based on these images?



A 34-year-old woman came for routine sonographic examination at 28-weeks gestational age, and a shocking fetal anomaly was discovered. Can you identify it?

This is the case of a third trimester pregnancy for which sonography was done. What is your diagnosis based on these images?

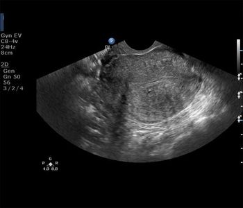
What is your diagnosis in this woman who underwent a routine pelvic sonography for non specific complaints?






There is a clearly defined rounded mass just below the endometrial stripe of the uterus. The endometrium itself appears normal in thickness ruling out hyperplasia.The mass is within the uterine fundus and body ruling out a cervical mass.

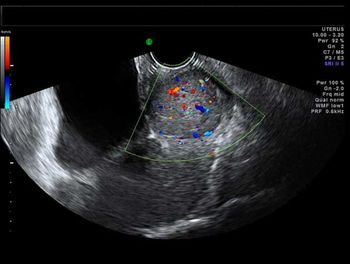
This middle-aged woman has pelvic pain and vaginal discharge. What is your diagnosis based on these ultrasound images of the uterus?

This young lady has abdominal pain and chest discomfort.She was undergoing treatment for infertility.What is your diagnosis?

What is your diagnosis in this fetus of 12 weeks gestational age?




