
Adnan Tuncbilek, MD
Advertisement
Articles by Adnan Tuncbilek, MD
Advertisement
Latest Updated Articles
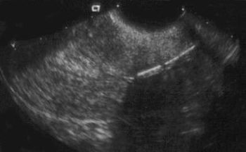
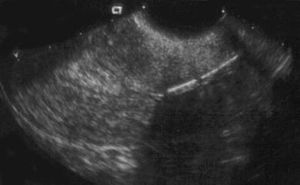
SAG Uterus IUCD Malposition (in lower UT segment)Published: June 15th 2011 | Updated:
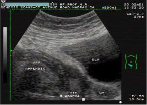
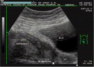
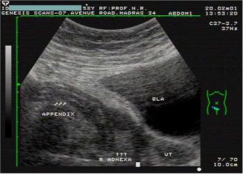
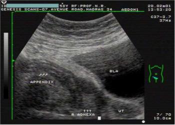
SAG RT Adnexa, Pelvic Ultrasound Incidental Finding: AppendicitisPublished: June 15th 2011 | Updated:
Advertisement
Advertisement
Trending on Contemporary OB/GYN
1
Justin Drake, PhD, discusses the latest research on a protein-based liquid biopsy to detect early breast cancer
2
DARE to PLAY sildenafil cream becomes commercially available for women in select states
3
Brexanolone shows rapid, sustained relief in postpartum depression
4
Long-term cardiovascular disease risk increased in women diagnosed with uterine fibroids
5


