
Albana Cerekja, MD
Advertisement
Articles by Albana Cerekja, MD

Advertisement
Latest Updated Articles
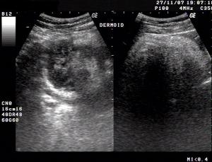
Mixed texture voluminous dermoid cyst, 11.5 cm posterior acoustic shadowingPublished: June 15th 2011 | Updated:
Advertisement
Advertisement
Trending on Contemporary OB/GYN
1
DARE to PLAY sildenafil cream becomes commercially available for women in select states
2
High costs and transfusions linked to acute heavy menstrual bleeding
3
Edward Hook, MD, discusses FDA approval of oral zoliflodacin for uncomplicated gonorrhea
4
George L. Maxwell, MD, discusses phase 3 SUNFLOWER trial to evaluate Mirena for nonatypical endometrial hyperplasia
5

