
Art Fougner, MD
Articles by Art Fougner, MD



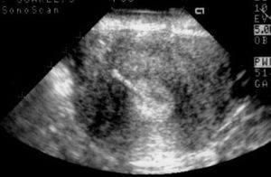
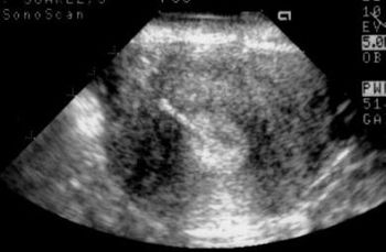
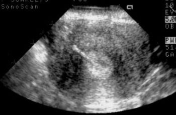
Implantation in the scar of a previous Cesarean is thought to be the rarest of ectopic pregnancies. With the increasing numbers of Cesareans performed, scar implantation may become more frequent as well. We present an illustrative case.

OBGYN.net Conference CoverageFrom 45th Annual Conference of the AIUM - Orlando, FL 2001

OBGYN.net Conference CoverageFrom 45th Annual Conference of the AIUM - Orlando, FL 2001

OBGYN.net Conference CoverageFrom 45th Annual Conference of the AIUM - Orlando, FL 2001

OBGYN.net Conference CoverageFrom 45th Annual Conference of the AIUM - Orlando, FL 2001

OBGYN.net Conference CoverageFrom the AIUM 45th Annual Convention in Orlando, FL, March 11–14, 2001

Conference Coverage ACOG AAGL ASRM COGI FIGO ISGE SGO SMFM General Acronym Expander Associations and Societies Bibliography Conference Calendar Conference Coverage Contribute to OBGYN.net Discussion Forums Educational Tutorials Health News Headlines Medline Meet our Doctors & Practitioners Register Ultrasound Images Podcasts and WebcastsClick here to find out more! Advertisement Local Guides Alabama Alaska Arizona Arkansas California Colorado Connecticut DC Delaware Florida Georgia Hawaii Idaho Illinois Indiana Iowa Kansas Kentucky Louisiana Maine Maryland Massachusetts Michigan Minnesota Mississippi Missouri Montana Nebraska Nevada New Hampshire New Jersey New Mexico New York North Carolina North Dakota Ohio Oklahoma Oregon Pennsylvania Rhode Island South Carolina South Dakota Tennesee Texas Utah Vermont Virginia Washington West Virginia Wisconsin WyomingAdvertisement Conditions and Topic Areas Adhesions Breast Health and Breast Cancer Endometriosis Fibroids Gestational Diabetes Gynecological Oncology Infertility Menopause & Perimenopause Mesothelioma Osteoporosis Pelvic Pain Polycystic Ovary Syndrome Postpartum Depression Pregnancy & Birth Premenstrual Syndrome/Premenstrual Dysphoric Disorder(PMS/PMDD) Sex-Related Issues Urogynecology Weight Management Young Women Treatment and Procedures Contraception Fetal Monitoring Hysterectomy Hysterectomy Alternatives Hysterectomy Training Hysteroscopy In Vitro Fertilization (IVF) Laparoscopy Nursing Technology Ultrasound AdvertisementCurrent Medical Professional Forum Discussions no subject received Tue, 13 Sep 2011 12:20:52 -0400 Vicki Re: Postoperative Fever Dr Eberhard W Lisse Re: Stocking up on Pessaries yerra14091971 yerra14091971 Re: Pregnancy Quiz -Image 1 Gunjan Puri Re: Pregnancy Quiz -Image 1 Imran Waheed Educational Tutorials Robotic Surgery in Gynecology - Neena Agarwala, MD, MSc. F.A.C.O.G Heart Disease in Pregnancy - Dr. Mohamed El SherbinySubmit Your TutorialAdvertisementUltrasound Image Gallery and Case Studies Endometrial Stromal Sarcoma - Sushila Ladumor, MD Mayer-Rokitansky-Kuster-Hauser Syndrome in a 17-Year-Old Female - Keerthi Perera and Elmutasim Elkanzi Ductal Carcinoma in Situ - Stamatia Destounis, M.D.Event Calendar September 15: Reproductive Health 2011 by Association of Reproductive Health Professionals (ARHP) September 15: American Gynecological & Obstetrical Society 2011 Annual Meeting by American Gynecological & Obstetrical Society September 15: Mayo Clinic Nutrition in Health and Disease by Mayo Clinic - Mayo Foundation September 15: Reproductive Health 2011 by Association of Reproductive Health Professionals September 16: SURGICAL MASTERS COURSE IN TOTAL LAPAROSCOPIC HYSTERECTOMY by American College of Obstetricians and Gynecologists (ACOG) September 16: Hands-On Breast Ultrasound by Keith Mauney & Associates Ultrasound Training InstitutesPrint this pageOBGYN.net Conference CoverageFrom the AIUM 45th Annual Convention in Orlando, FL, March 11–14, 2001
Latest Updated Articles
The Prenatal Ultrasound Assessment for the Risk of Down's SyndromePublished: September 14th 2006 | Updated:
The History of UltrasoundPublished: September 14th 2006 | Updated:
New Teaching Techniques in MultimediaPublished: September 14th 2006 | Updated:
The Use of Ultrasound for Screening for Down's SyndromePublished: September 14th 2006 | Updated:
What matters matter?Published: September 14th 2006 | Updated:
TRV Uterus IUCD Fragment post IUCD RemovalPublished: June 15th 2011 | Updated:
