
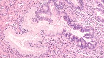
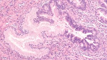
Due to uterine fibroids being a potential cause of infertility, treatment options like myomectomy should be discussed individually with the patient, according to an article published in Diagnostics that evaluated the relationship.
Freelance writer for Contemporary OB/GYN

Due to uterine fibroids being a potential cause of infertility, treatment options like myomectomy should be discussed individually with the patient, according to an article published in Diagnostics that evaluated the relationship.

One year after the close of the Increasing Access to Contraception (IAC) Learning Community, participants had sustained their efforts in support of at least 1 goal: to improve women’s access to the full range of contraceptive options.

“Today, many of these cases are done as open surgery, including approximately 60% of all hysterectomies performed globally, despite the clear benefits of minimally invasive surgery, which includes fewer complications, a shorter hospital stay, and a faster return to normal activities,” Peron told Contemporary OB/GYN®.

Oral contraceptives are not linked to early natural menopause, according to a population-based study in the journal Human Reproduction.

A more standardized approach to menopause preparedness, including educating both patients and providers, is needed to improve care and quality of life for individuals during and after menopause, according to a study in the journal Menopause.

A systemic review and meta-analysis in the Archives of Gynecology and Obstetrics has found epidemiological evidence that endometriosis and irritable bowel syndrome (IBS) are connected.

The life impact of endometriosis is similar to other chronic disorders, especially for pain, according to a narrative literature review in the International Journal of Internal Medicine.

A study in the European Journal of Clinical Microbiology & Infectious Diseases has identified 2 new risk factors for vulvovaginal candidiasis (VVC)—frequency of indigestion of milk and dairy products, and changes in bowel habits.

Inappropriate treatment is widespread among women with vaginitis symptoms, according to a study conducted in a community practice setting.

A systematic review of minimally invasive treatments for uterine fibroid-related bleeding found that myomectomy can improve overall bleeding symptoms in nearly all patients.

A study examined the treatment efficacy of uterine artery embolization (UAE) or magnetic resonance imaging-guided focused ultrasound surgery (MRgFUS) for uterine fibroids.

Women with mental illness who use contraception may have comparable or lower rates of mood symptoms with hormonal contraceptives than those who use other types of contraception, or no contraception at all.

A study has found that women with a diagnosis of endometriosis have significantly greater depressive symptomatology, sexual distress, and catastrophizing than age-paired healthy women.

Premature menopause is significantly linked to eventual atherosclerotic cardiovascular disease (ASCVD), according to a research letter in JAMA Cardiology.

A study in JAMA Network Open has found that prenatal analgesic opioid exposure of 5 or more weeks is associated with a slightly elevated risk of attention-deficit/hyperactivity disorder (ADHD) in children compared to exposure of 4 weeks or less.

The 'routinization' of noninvasive prenatal testing (NIPT) and the increasing pressure to test and/or terminate affected pregnancies are 2 major ethical concerns of NIPT.

Remote delivery of the SpeakOut intervention failed to increase communication, knowledge, and use of contraception among teens and their peers, according to a recently published study.

An online explorative observational study in the journal Reproductive BioMedicine Online has found that there are no specific dietary adjustments to increase quality of life among Dutch endometriosis patients.

Noninvasive prenatal testing (NIPT) uptake is significantly lower in socioeconomically disadvantaged neighborhoods compared to all other neighborhoods in the Netherlands, according to a study in the journal Prenatal Diagnosis.

Not only are chlamydia and gonorrhea 2 of the most common sexually transmitted infections (STIs) in the United States, but people are being diagnosed with them at a higher rate than ever before, according to the Centers for Disease Control and Prevention (CDC).

Women who are exposed to sexual violence, particularly in childhood, may be more prone to poorer cardiovascular health later in their lives.

Older women with a history of childhood abuse or intimate partner violence (IPV) may have been impacted by mental health issues even more than others during the COVID-19 pandemic.

Black and Hispanic women are significantly less likely to have up-to-date colon cancer screening compared to White women.

A research letter in JAMA has concluded that the risk of spontaneous abortion is not increased by COVID-19 vaccine exposure in the 28 days prior to spontaneous abortion compared to women with ongoing pregnancies.

Pregnant individuals with inadequate health literacy have a greater risk of cesarean delivery, major perineal laceration, small-for-gestational-age status and low birth weight, compared to individuals with adequate heath literacy, according to an analysis of data from a large, multicenter cohort study of nulliparous individuals in the United States.

Results of a phase 2 study demonstrate that the anti-programmed death-1 (PD-1) antibody balstilimab from Agenus Inc. provides meaningful and durable clinical activity in patients with previously treated, recurrent/metastatic cervical cancer.

Among women with opioid use disorder (OUD) at high risk for unintended pregnancy, on-site contraceptive services coupled with financial incentives to attend follow-up visits to assess contraceptive satisfaction was a significantly more effective and cost-beneficial intervention than without incentives or with usual care, according to a prospective randomized clinical trial in JAMA Psychiatry.

A cross-sectional study in the journal Sexually Transmitted Infections has found that Mycoplasma genitalium (MG) is just as prevalent as Chlamydia trachomatis (CT) among women seen at a sexual health center in Australia.

A study in the journal Ultrasound in Obstetrics & Gynecology1 has found that noninvasive prenatal testing (NIPT) can help in the early detection of a set of single gene disorders (SGDs), especially in the presence of either abnormal ultrasound findings or a family history.

A Swedish cohort study in the journal Environment International has found that women of fertile age who were exposed to high levels of perfluorinated substances (PFAS) in drinking water were significantly more likely to subsequently have a diagnosis of polycystic ovarian syndrome (PCOS) and possibly uterine leiomyoma (or uterine fibroids [UFs]), but not endometriosis.