
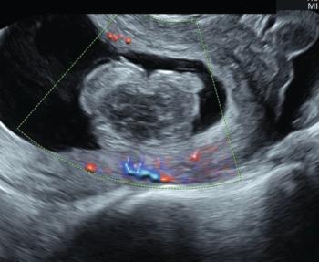
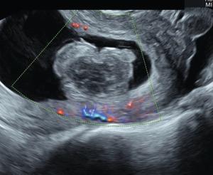
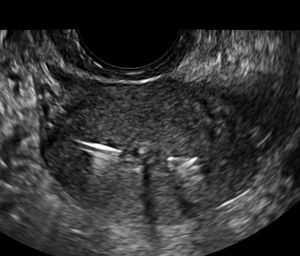
Ultrasound technology can be an indispensable tool for the management of suspected early pregnancy loss.
Dr Shipp is a Vice President with Diagnostic Ultrasound Associates, PC, Brookline, Massachusetts, and a Sonologist and Associate Professor of Obstetrics, Gynecology and Reproductive Biology at Brigham & Women’s Hospital, Department of OB/GYN, Boston.

Published: October 1st 2020 | Updated:

Published: November 4th 2016 | Updated: