
A review of the latest research on the persistence of vasomotor symptoms, the link between hormone therapy and ovarian cancer risk, and the prevalence of substance use in pregnant adolescents.

A review of the latest research on the persistence of vasomotor symptoms, the link between hormone therapy and ovarian cancer risk, and the prevalence of substance use in pregnant adolescents.

Children with in utero exposure to cigarette smoke from mom or dad's smoking habit are predisposed to diabetes in adulthood.

Ilene Gewirtz, MD, discusses her comprehensive approach to well visits and cancer screens and says education, if not expanded services, is key.

Women crave cigarettes more strongly during their periods, so waiting until after ovulation to quit may make the process slightly less difficult.

Illness impacts men and women differently, and a woman's personality type matters in how resistant she may be to mental illness.

CMV is a viral infection that can have devastating effects on unborn babies. Do you educate your obstetric patients about CMV prevention?

Contemporary OB/GYN provides information on the latest research on the possibility of a link between cardiovascular disease and spontaneous preterm birth; whether or not contraceptive expiration dates might be conservative; and helping answer the question of whether or not the HPV vaccine causes more sexual activity.

Do these images of the fetal brain point to a congenital anomaly or something else?

Treatments to remove precancerous cervical lesions don't seem to affect a woman's ability to become pregnant, new research found.

Adolescent girls who receive the HPV vaccine are no more likely than unvaccinated girls to participate in risky sexual behavior.

Have a puzzling ob or gyn case that you'd like to share with fellow readers? We're looking for stories about intriguing diagnoses that have stumped the experts!

The Joint Commission has revised its definition of sentinel event, causing confusion about how these events now relate to severe maternal morbidity.

Severe maternal morbidity is not always a sentinel event. Take this quiz to test your understanding of what constitutes an obstetric sentinel event.

A form of assisted reproductive technology that could make it possible for women with mutations in mitochondrial DNA to give birth to children free of mitochondrial disease has been approved by UK’s House of Commons. A Food and Drug Administration (FDA) committee is considering granting similar approval for use of the technique-known as oocyte modification or three-parent gene therapy-in the United States.

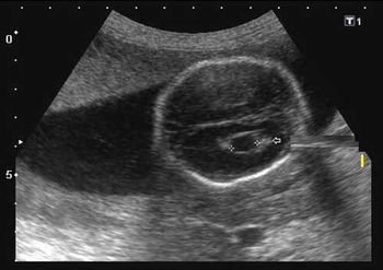
This second-trimester fetus has a renal abnormality. Can you identify it?

SMFM 2015: A failed result on noninvasive prenatal testing (NIPT) may provide insight into what subsequent tests may find, research reveals.

Contemporary OB/GYN provides information on the latest research from SMFM's annual Pregnancy Meeting.

Women with polycystic ovary syndrome (PCOS) are at increased risk for metabolic and heart diseases and nearly twice as likely to be hospitalized.

Probiotics don't improve the metabolic health of women with GDM but may help those at risk for future metabolic and cardiovascular disease.

Two experts debate whether unrestricted access to emergency contraception has really translated into awareness about how it works and how to get it.

Patients who have experienced intimate partner violence have reported that positive, supportive encounters with healthcare providers have helped them to improve their situations.

Readers comment on independence, EHRs, tort reform

Six months after a tubal ligation, a woman became pregnant. She gave birth by cesarean to a child who was diagnosed with sickle cell disease.

A commentary on ACOG Practice Bulletin Number 145 by Contemporary OB/GYN editorial board member Haywood L. Brown, MD.

A summary of the evidence-based SMFM guidelines for the evaluation and management of nonimmune hydrops fetalis (NIHF). The guidelines cover the epidemiology, risk factors, work-up, prognosis, and treatment of pregnancies complicated by NIHF.

Two new compounds, oxabicycloheptene sulfonate and chloroindazole, were successfully tested in early studies to treat endometriosis.

A valuable infographic showing types of contraception used by American women of various ages, education levels, and ethnicities.

Neil S. Silverman, MD, addressed the recent measles outbreak and made these suggestions for women who are pregnant or trying to become pregnant.

Tight control of hypertension in pregnancy does not produce better perinatal outcomes or fewer serious maternal complications than looser control, according to results of an international randomized clinical trial. Published in the New England Journal of Medicine, the findings are consistent with those from a meta-analysis of 29 previous trials.

A new Danish study suggests that there may be a link between use of hormonal contraceptives and glioma, a rare brain tumor.