
A reader takes issue with the authors' assertion that risk of ureteral injury is higher for vaginal hysterectomy.

A reader takes issue with the authors' assertion that risk of ureteral injury is higher for vaginal hysterectomy.

A new CDC report shows that while perinatal mortality rates are continuing to decline-down 10% since 2000-the US fetal mortality rate for the latest study period (2006–2012) did not improve.

New research has found a link between day-of-surgery urinary microbiota and the likelihood of a urinary tract infection after pelvic floor surgery.

Our reviewer took two products for gynecologic surgeons for a test drive. Here's what he found.

In this blog, one OB/GYN details how she pulled herself out of a professional rut and became re-inspired after 20 years of clinical practice.

According to a recent study in Gynecologic Oncology, Hispanic women may be less likely to survive endometrial cancer than their non-Hispanic white counterparts.

An ADP-ribose polymerase (PARP) inhibitor has received accelerated approval from the US Food and Drug Administration (FDA) for treatment of women with heavily pretreated ovarian cancer associated with defective BRCA genes.

Women at risk of ovarian cancer and who are undergoing hysterectomy should be counseled about the possible benefits of salpingectomy, according to a new committee opinion from the American College of Obstetricians and Gynecologists.

On July 29, 2010, a 46-year-old obese primarily Spanish-speaking patient was admitted to a hospital by her private ob/gyn Dr. A for a total laparoscopic hysterectomy (TLH) and/or laparoscopically assisted vaginal hysterectomy (LAVH) that day.

No more excuses for not reaching your health and fitness goals: These apps do (almost) everything for you.

New research sheds light on how pregnancy can affect women with a mobility disability, such as a spinal cord injury or cerebral palsy.

This uterus is anything but normal, but it still seems to function. What's your diagnosis?

The right combination of medication, physical therapy, and lifestyle changes may help patients with this sometimes stubborn condition.

We should double down on federal tort reform efforts and expand state programs to locales where basic reforms have been stymied by the trial lawyer lobby. Simultaneously, we should study non-traditional approaches.

For women with gestational diabetes, a low glycemic index diet was associated with less need for insulin and lower birth weights for the babies.

A new recommendation for home birth or delivery at a birth center for certain women with uncomplicated pregnancies in the United Kingdom has been issued.

Despite having advantages over conventional whole breast irradiation, hypofractionated WBI is used by only a third of patients who would benefit.

The FDA has approved olaparib, to be marketed under the name Lynparza, for the treatment of advanced ovarian cancer related to defective BRCA genes.

Maternal exposure to air pollution during pregnancy may be a contributing factor in the development of autism in offspring, new research shows.

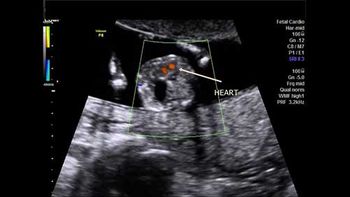
Challenge your diagnostic skills: What's your diagnosis based on these images from a 14-week fetus?

The genes expressed by a common bacteria that causes UTIs protect the bacteria from the process the body uses to fight the infection, new research shows.

An annual exam, a road, and good intentions--sound familiar?

From surgical staplers to birthing simulator updates, 2014 brought many new innovations for obstetrics and gynecology.

Pink or blue? New research shows that low gestational weight gain early in the pregnancy is correlated with having a baby of a certain sex.

Two new studies have found that metabolic syndrome and weight loss surgery can independently affect urinary symptoms.

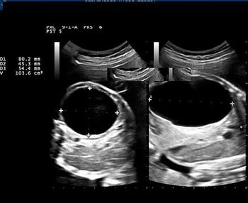
This image quiz focuses on the kidneys. Can you identify the abnormality seen in these ultrasound images of the fetal abdomen?

Evidence is mounting that digital tomosynthesis has better cancer detection rates than digital mammography, especially for women with dense breasts.

For those who focus so much on getting through the pregnancy that they forget to prepare for when baby comes home.

The FDA has granted a first-ever waiver for a rapid screening test for syphilis, allowing the test to be used in a greater variety of health care settings.

Removal of the ovaries and fallopian tubes at the time of a hysterectomy doesn't increase the risk of pelvic organ prolapse, new research finds.