
The benefits of intermittent oral iron supplementation plus folic acid are similar to those of daily supplementation in terms of maternal and infant outcomes, according to the results of a recent systematic analysis.

The benefits of intermittent oral iron supplementation plus folic acid are similar to those of daily supplementation in terms of maternal and infant outcomes, according to the results of a recent systematic analysis.

When fetal compromise is suspected, deferring delivery to allow the fetus more time in the womb until test results worsen or a favorable gestational age has been achieved may improve fetal and maternal outcomes, concluded a new study.

President-elect of ACOG, Jeanne Conry, MD,advocates for more awareness of and research into how environmental factors prior to conception influence the health of mother and baby, and said, “In medicine we often don't pay attention to environmental research." Is she right?

This woman presented with pelvic pain and discomfort. What is your diagnosis?

In patients with heavily pretreated HER2-positive metastatic breast cancer, combination treatment with lapatinib and trastuzumab was associated with a median survival benefit of 4.5 months, according to the final results of a phase III study.

Because lead easily crosses the placenta, elevated lead levels in pregnancy have been associated with gestational hypertension, spontaneous abortion, low birth weight, and impaired neurodevelopment. In a new Committee Opinion, The American College of Obstetricians and Gynecologists has reviewed screening and management policies for elevated lead levels in pregnancy.

In women undergoing assisted reproductive techniques, intentional endometrial injury performed in the month prior to the embryo transfer cycle can increase the likelihood of clinical pregnancy and live birth, according to results of a new study.

This month, an article in a major women’s magazine reported on an “under-the-radar issue:” young women whose doctors refuse to perform tubal ligation.

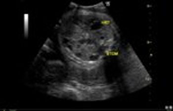
This is an early first trimester pregnancy with pelvic discomfort. What are your findings and what is a possible diagnosis?

Removing specimens transvaginally during laparoscopic resection of adnexal masses is associated with less postoperative pain than transumbilical removal, according to a new study.

An article in the New York Times drew attention to an impending physician shortage, a phenomenon that has been predicted for years. Is your practice, or your area of the country, feeling the impact?

This is a 2nd trimester pregnancy. What are your findings and diagnosis in this case (ultrasound images are of the pelvis and uterus in particular)?

Researchers are about to launch a large, multinational Phase III clinical trial to test the safety and effectiveness of a vaginal ring containing the experimental antiretroviral (ARV) drug dapivirine. The ring is intended to provide women with another means to prevent HIV acquisition through vaginal intercourse.

Social media can help a physician market their practice, build their brand, land a new job and more. Here's how.

The answer to that question seems to be yes, and the impact may be influenced by the timing of the biopsy or curettage, according to the results of a Cochrane Collaboration review.

Are you wondering what the recent ACA Supreme Court decision means for OB/GYNs? Contemporary OB/GYN's editor-in-chief tries to figure it out.

As women transition into menopause, they may wish to have hormone therapy. Find out what the risks and benefits of the therapy are.

An OB/GYN discusses his many experiences with hysteroscopic myomectomy during 24 years of practice.

A review of a lawsuit where defendant B allegedly did not administer magnesium sulfate in a timely manner, causing premature delivery of an infant.

Wondering whether or not you should screen your patients for thyroid disease?

For many women, the 50s are a milestone decade. In addition to other changes, menopause can bring about sexual dysfunction.

Data are limited and evidence inconclusive on whether exercise prevents glucose intolerance in pregnant women.

In this protocol, Dr. Lockwood reviews the pathophysiology, diagnosis, and treatment of autoimmune disease in pregnancy. Included are guidelines for management of systemic lupus erythematous (SLE), rheumatoid arthritis (RA), scleroderma, and rarer autoimmune disorders.

With 20% of U.S. MDs older than age 65, there is increasing concern about how to monitor and manage the potential for cognitive decline in physicians. Is an annual fitness-for-duty exam for older doctors a good idea?

This is an early 3rd trimester pregnancy. What is your diagnosis of this placenta?

In a new systematic review, researchers studied the benefits and harms of pharmacological therapies for overactive bladder in women.

For the first time, we have a drug in our arsenal to help prevent the spread of HIV infection to uninfected individuals.

Cancer passed in utero, trading art for health care, urinary incontinence in young women and more in the ob/gyn week in review.

This is a common uterine condition. What's your diagnosis?

Cranberry-containing products may be more than just a folk remedy for urinary tract infections (UTIs). A systematic review and meta-analysis published in the Archives of Internal Medicine concludes that cranberry-containing products offer women protection against UTIs, particularly those prone to recurrent infections.