
The January issue of Contemporary OB/GYN® featured a peer-reviewed article on syphilis in pregnancy.

The January issue of Contemporary OB/GYN® featured a peer-reviewed article on syphilis in pregnancy.

Since radical hysterectomy does not improve survival, the procedure should be replaced with definitive chemoradiation, according to the ABRAX study published in the European Journal of Cancer.

While no difference was shown in disease-free survival rates between surgical and non-surgical staging methods, laparoscopy benefits patients with International Federation of Gynecology and Obstetrics (FIGO) stage IIB cervical cancer. Surgical staging also has a cancer-specific survival benefit, according to a study published in the International Journal of Gynecological Cancers.

With coronavirus disease 2019 limiting the availability of health resources, research using a comprehensive review and expert opinion has set pandemic treatment protocols for gynecological cancers.

Data on COVID-19 during pregnancy, as reported by the CDC, in collaboration with state, local, and territorial health departments and external partners.

What to look for this week on Contemporary OB/GYN®

It was a very busy week for the Contemporary OB/GYN® team.

The Society for Academic Specialists in General Obstetrics and Gynecology (SASGOG) recently announced its call for abstracts for the 2021 Annual Meeting. The meeting will be held virtually on April 9, 2021 from 1 p.m. to 5:30 p.m. EST.

In honor of Cervical Cancer Awareness month, Contemporary OB/GYN® will publish weekly slideshows with factual information, statistics, and more.

The COVID-19 vaccine, and the speed at which it was developed, is the medical breakthrough of our lifetimes.

An effective option for refractory cervical insufficiency.

“Reaching these women is critical to reduce cervical cancer rates.”

The Society for Maternal-Fetal Medicine’s (SMFM) 2021 Annual Pregnancy Meeting will be held virtually throughout the month of January, with core meeting activities taking place Jan. 25-30. SMFM’s President, Judette Louis, MD, MPH, and Program Committee Chair, Cynthia Gyamfi-Bannerman, MD, MSc, tell readers what they can expect in the new online format.

With this first issue of 2021, you may notice something different on the cover and on the banner of our website. This special design features a teal ribbon wrap and related content for cervical cancer content.

What to look for this week on Contemporary OB/GYN®

It was a very busy week for the Contemporary OB/GYN® team.


Pembrolizumab plus lenvatinib induced a statistically significant and clinically meaningful improvement in overall survival, progression-free survival, and objective response rate compared with chemotherapy in patients with advanced endometrial cancer after prior systemic therapy in the phase 3 KEYNOTE-775/Study 309 trial.

Join Senior Editor Angie DeRosa with a look back at this year's cover designs and feature stories.

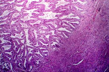
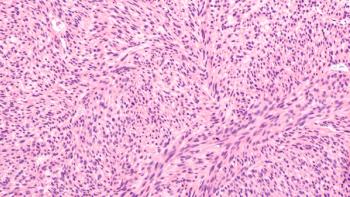
High signal intensity on T1-weighted magnetic resonance images (MRI) and low diffusion coefficient values can accurately differentiate uterine leiomyosarcoma from benign leiomyoma, according to a meta-analysis in the Journal of the Belgium Society of Radiology.

A study in the journal Vascular Health and Risk Management has found significant differences in the metabolite profiling of altered amino acid and lipoprotein metabolism in participants with atherosclerosis and osteoporosis, compared with those in healthy menopausal women.

A case study on diagnosis and management. Could you recognize this rare condition?

General surgeons and ob/gyns are the most likely physicians to get sued, according to data from the American Medical Association’s 2016 Physician Practice Benchmark Survey.

Curbside Consults delivers expert perspectives from physicians outside of the ob/gyn specialty to provide insight into various health issues affecting pregnant women, about which they are experts. This new section is the brainchild of Editorial Advisory Board member Christine Isaacs, MD.

While there are myriad apps available in digital storefronts hosted by Apple, Google and Amazon, it can be difficult to choose an effective app that also keeps patient health data safe.

The Office for Civil Rights (OCR) at the Department of Health and Human Services (HHS) has released proposed changes to the Health Insurance Portability and Accountability Act (HIPAA) Privacy Rule.

Elizebeth Harmon, MD, MBA, FACOG shares her thoughts on an article from Contemporary OB/GYN®'s November issue.

What to look for this week on Contemporary OB/GYN®

It was a very busy week for the Contemporary OB/GYN® team.