
Is 39 the new 41 when it comes to weeks of gestation for induction of labor?

Let us know: Send us a message on Facebook, Twitter, or send an email to our editorial staff.

The American College of Obstetricians and Gynecologists’ (ACOG) 2020 Virtual Conference starts this Friday, Oct. 30, with presentations by preeminent experts in ob/gyn.

A baby’s gender is often detected via ultrasound around 20 weeks of pregnancy. What if there was a way to know sooner?

What to look for this week on Contemporary OB/GYN:

Study results, which were published in the European Journal of Obstetrics & Gynecology and Reproductive Biology, also found the drug well tolerated.

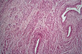
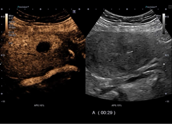
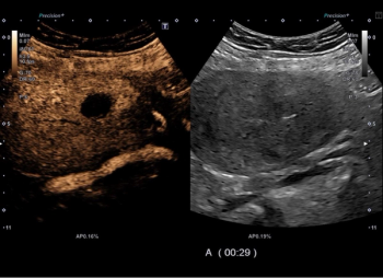
A prospective observational study in the Journal of Ultrasound in Medicine has concluded that for pretreatment evaluation of uterine fibroids (UF), transabdominal contrast-enhanced ultrasound (CEUS) represents a viable alternative to traditional contrast-enhanced magnetic resonance imaging (MRI).

New research suggests that air pollutant particles and metals are reaching the placenta.

Data on COVID-19 during pregnancy, as reported by the CDC, in collaboration with state, local, and territorial health departments and external partners.

It was a very busy week for the Contemporary OB/GYN team.

Over the past decade, efforts to reduce unnecessary antibiotic use in the neonatal intensive care unit (NICU) have increased. A new report delivered results of a comprehensive quality improvement run in a level 4 NICU with the goal of decreasing antibiotic use by 20%

Senior Editor Angie DeRosa interviews Dr. Michal Elovitz, executive director of the recently formed Womxn’s Health Collaborative (WHC), a group whose mission is to empower women from diverse backgrounds to succeed and become leaders in science and health in the field of women’s health.

This week's poll focuses on vaginal dilation for treatment of various sexual concerns.

A new study in The New England Journal of Medicine used exome sequencing to analyze 127 fetuses with unexplained cases of nonimmune Hydrops fetalis.

Despite the fact that extended newborn screenings have been used for more than 20 years, the impact of such screenings on long-term clinical outcomes among individuals who had inherited metabolic diseases is still relatively unknown.

Each year, approximately 24,000 babies are stillborn in the U.S, and as many as half of all pregnancies may end in miscarriage.

Get a snapshot of what's coming up this week.

The WHC is a response to the recent creation of a pregnancy think tank and years of fighting for equality.

Massive intraoperative blood loss (MIBL) is strongly and independently linked to postoperative febrile morbidity following gynecologic laparotomy, according to a retrospective cohort study in the Journal of Obstetrics and Gynaecology Canada (JOGC).

It was a very busy week for the Contemporary OB/GYN team.

New research suggests that placental DNA may have potential as a biomarker for adverse pregnancy outcomes (APOs).

“As surgeons, our primary goal is to make patients feel better and we often accomplish this by surgically treating endometriosis,” said co-author Ally Murji, MD, MPH, an associate professor of ob/gyn at the University of Toronto and Mount Sinai Hospital in Toronto, Canada.

Although hypertension is a modifiable risk factor for cardiovascular disease (CVD), certain hormonal contraceptives increase the risk of stroke and myocardial infarction in women with the disorder.

An adolescent patient's right to privacy is crucial, especially for ob/gyns.

“The ARIEL3, NOVA, and SOLO-2 trials have definitely changed how we practice and treat patients with ovarian cancer," said Dr. Jackson.

Data on COVID-19 during pregnancy, as reported by the CDC, in collaboration with state, local, and territorial health departments and external partners.

Application for the funds began on Oct. 5.

The Obesity Medicine Association (OMA) will host its Overcoming Obesity 2020 Virtual Conference from Oct. 7 to Oct. 11.

In collaboration with the Biomedical Advanced Research and Development Authority (BARDA), the National Institutes of Health (NIH) announced a third round of contract awards for scale-up and manufacturing of new COVID-19 testing technologies.

The very measures used to prevent the spread of COVID-19 increase the risk of depression and suicidal thoughts: economic stress, social isolation, decreased access to community, barriers to mental health treatment, and illness.