What is your diagnosis when vulvar examination shows loss of the labia minora?

HISTORY
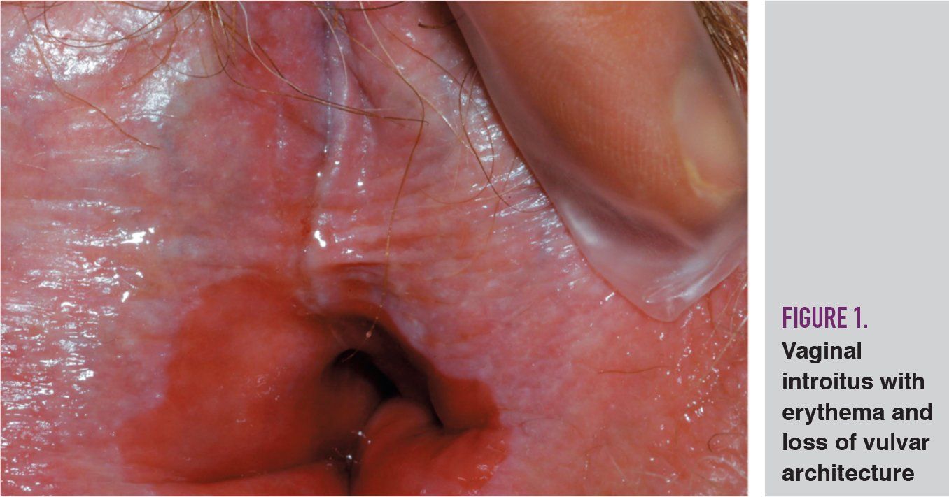
A 56-year-old G2P2 presents with longstanding vulvar pain, difficulty swallowing, and pain and bleeding with intercourse. On vulvar examination, you see loss of the labia minora, fusion of the prepuce over the clitoris, and erosions around the introitus (Figure 1).
Click here for diagnosis, next step in evaluation, and discussion
Figure 2

Figure 3

Discussion
Based on this patient’s history and clinical examination, the most likely diagnosis is lichen planus (LP), a chronic inflammatory condition that can involve the skin, mucosa, scalp and nails.1 Vulvar LP is a subtype that involves the genital skin with or without involvement of the vagina. Women with vulvar LP may present with one of three subtypes-classic, papulosquamous, or erosive-and often present with complaints of itching, pain with intercourse, vaginal discharge, or bleeding. Some patients may be asymptomatic. The patient in this case represents the erosive subtype of vulvovaginal LP, which is the most common of the three.
Epidemiology
LP is uncommon, often presenting in the 5th to 6th decades of life, although it can be seen in younger and older women. The prevalence of LP is not well defined, given limited and often under-reporting of this condition. Current rates for LP in the literature are estimated to be between 0.01% and 3%,2,3 although prevalence data specific to vulvar lichen planus are unknown. One study of 37 women with cutaneous LP demonstrated a prevalence of 51% for vulvar involvement.3
Etiology
While the exact etiology is not known, LP is defined as a chronic inflammatory condition that can involve the skin, scalp, mucosal surfaces, or nails. It is classified as an autoimmune condition with demonstrated cell-mediated autoimmunity.4 The proposed mechanism includes T-cell-mediated keratinocyte damage of the basal cell layer of the dermis.2 LP also is associated with other autoimmune diseases including thyroid disease, alopecia, and vitiligo.3 Patients with LP should be screened for other autoimmune diseases when clinically indicated. A significant association between hepatitis C and LP has also been reported in the international literature, although the relevance of this in North America is not clear.3,5
Clinical features
The clinical features vary based on subtype of vulvar LP. The classic or papular subtype most often presents with pruritus, but can be asymptomatic. On clinical examination you will see flat, papular lesions with a characteristic white, lacy pattern (Wickham’s striae). It is often seen in patients with cutaneous LP of other sites and can sometimes resolve spontaneously. Classic or papular LP does not typically cause scarring. The least common subtype is hypertrophic. Patients will typically complain of pruritus and the appearance is characterized by purple/red brown well-demarcated flat-topped shiny papules on keratinized skin.4 It is most common in the perineal and perianal area and does not involve the vagina.3 Biopsy is often required, as the plaque-like appearance can mimic other diagnoses. The most common vulvar subtype is erosive, which is seen in Figure 1. Patients will often complain of pain, including dyspareunia, or difficulties with urination. On examination you will see white, lacy papules or red erosions which may involve the vestibule (Figure 1) and vagina (Figure 2).4
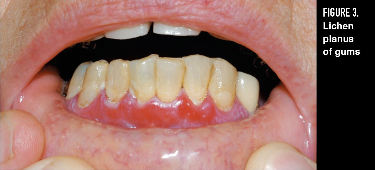
Erosions can lead to scarring, particularly in the vagina. Architectural changes with loss of tissue can also occur, as seen in Figure 1. Erosive LP can also involve other mucosal surfaces including urethral, oral (Figure 3) and esophageal mucosa. Vulvovaginal-gingival (VVG) syndrome is a specific erosive subtype involving each listed mucosal surface. Sites of involvement may not be concurrent, so history of prior site involvement or symptoms in those sites should be solicited.
Figure 4

Table 1

Figure 5

Diagnosis
Clinical examination is crucial for diagnosis but biopsy may be helpful as well. When performing a biopsy, you should target areas of white reticular borders or erosion.6 If you are taking a biopsy in the area of an erosion, it is important to biopsy on the border of the erosion, including some normal skin.6 Tissue should be sent for H&E staining and also for immunofluorescence as often findings can be non-specific on histopathology.7 Of note, the specimen used for immunofluorescence should be sent fresh. In our clinic, we typically use Zeus Tissue Fixative.
On H&E staining you will often see the following:
On immunofluorescence, you will see irregular deposition of fibrinogen, IgM, cytoid bodies and occasionally granular IgG or IgA on staining of the basement membrane.7
In 2013, diagnostic criteria for erosive lichen planus were created by electronic-Delphi consensus pooling of members of the International Society for the Study of Vulvovaginal Disease (ISSVD).2 Nine characteristics were identified with three of nine necessary to confirm the diagnosis (Table 1).2
Treatment
The goals of treatment are to address symptoms and prevent disease progression.6,7 Typically papular or classic vulvar LP will respond to local treatments such as topical corticosteroids (e.g. triamcinolone 0.1% ointment or clobetasol 0.05% ointment).7 Hypertrophic vulvar LP can be resistant to topical medications. For erosive vulvar LP, topical corticosteroids such as clobetasol 0.05% ointment and augmented betamethasone ointment 0.05% are the first-line treatments.6,7 Intra-lesional triamcinolone acetonide (10 mg/mL) injections can be helpful for more resistant disease.6,7 Typically, 0.1 mL of triamcinolone would treat 1 cm2 of tissue.6 For example, we would use 10 mg for the entire vestibule. However, do not exceed 40 mg for the entire vulva. Injections should be at least 3 to 4 weeks apart and no more than three injections overall.7 There are some reports on the use of topical tacrolimus 0.1% ointment twice daily for oral and genital erosive lichen planus.8-11 In some patients with hypertrophic or erosive vulvar LP, topical therapies are insufficient and systemic therapies are required to meet treatment goals. In these circumstances, we will often partner with our colleagues in dermatology. The most commonly used medications include prednisone (only for flares), methotrexate 5 mg by mouth once weekly or 5 mg subcutaneously once weekly (with folic acid supplementation) building up to 25 mg per week, mycophenolate mofetil 500 mg/day building up to 1.5 g twice daily, and hydroxychloroquine 200 mg twice daily.6,7 You may also treat with cyclosporine 2.5 mg/kg/day with a maximum of 5 mg per day or rituximab 1 g on Days 1 and 15 with repeat at 6 months if relapse.6,7 These medications require monitoring and are titrated up over time to achieve their effects.6,7
For patients with vaginal involvement, we recommend intravaginal hydrocortisone (e.g. hydrocortisone acetate foam 40-80 mg nightly, or 25 to 200 mg suppository or cream nightly).7 For higher doses a compounding pharmacy is necessary. The patient should also dilate daily to keep the vagina open.7
Despite these therapies, there are some cases in which vulvar and/or vaginal agglutination occurs despite conservative therapy (Figure 5). At the University of Michigan Center for Vulvar Diseases, we have developed and utilized a protocol to address this population of patients.12 Our protocol entails a combination of sharp dissection with blunt pressure with an end-to-end anastomosis sizer placed rectally to help define the plane between the vagina and the rectum.12 Once normal length and width are achieved, a foam dilator covered with two sterile condoms is placed in the vagina and secured via suturing the labia majora together.12 A Foley catheter is placed prior to this. The patient presents to clinic for removal of the dilator and Foley catheter 48 hours after surgery and then is started on a protocol of daily dilator therapy followed by high-dose intravaginal steroids.12 Refer to the referenced article for a video and also postoperative recommendations.12 Data from a small series at our center (11 women) have shown that 95% of patients were satisfied with their postsurgical result with 55% engaging in intercourse following surgery and 75% with improvement in voiding symptoms.12
If a patient is noted to have extensive extra-genital involvement, it is important to collaborate with other specialists such as dermatology and gastroenterology for comprehensive treatment.
Long-term management
Surveillance is key as there is an increased risk of squamous cell carcinoma in cases of LP. At the Center for Vulvar Diseases at Michigan Medicine, we follow patients with LP every 6 months by clinical exam. We also recommend patients be up to date on lower genital tract cancer screening. Because the condition can also have a significant impact on quality of life due to pain and issues with sexual functioning, our clinic takes a comprehensive approach with sexual health counselors on site. If this is not available in your clinic, consider referral to sexual health counselors, psychologists, and psychiatrists to help manage these complex patients.6,7
The authors report no potential conflicts of interest with regard to this article.

Get the latest clinical updates, case studies, and expert commentary in obstetric and gynecologic care. Sign up now to stay informed.