
Interventions before and after birth can reduce the rising maternal mortality ratio.

David B. Nelson, MD, is division chief of the Division of Maternal-Fetal Medicine and associate professor in the Department of Obstetrics and Gynecology at the University of Texas Southwestern Medical Center in Dallas.

Interventions before and after birth can reduce the rising maternal mortality ratio.

Obstetrics and gynecologists (ob-gyns) are tough.

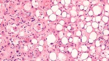
Acute fatty liver of pregnancy (AFLP) is a rare but potentially fatal condition characterized by hepatic failure.

Published: March 8th 2023 | Updated: