
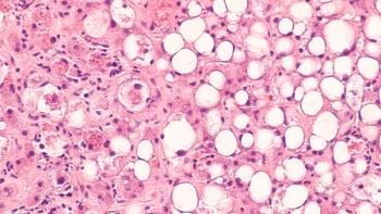
Acute fatty liver of pregnancy (AFLP) is a rare but potentially fatal condition characterized by hepatic failure.

Schell is a maternal-fetal medicine fellow at Parkland Hospital in Dallas, Texas, and an assistant instructor in the Department of Obstetrics & Gynecology at the University of Texas Southwestern Medical Center, also in Dallas.