
An aromatase inhibitor was safe for use in ovarian stimulation but produced fewer live births than a standard clomiphene citrate (CC) regimen, according to results of a multicenter trial.

An aromatase inhibitor was safe for use in ovarian stimulation but produced fewer live births than a standard clomiphene citrate (CC) regimen, according to results of a multicenter trial.

New research looking at complication rates and cost for oophorectomy and cystectomy favors conventional laparoscopy over robotic surgery.

An analysis of data from nearly 90,000 women who underwent adnexal surgery over a 3-year period shows that robotically assisted procedures were associated with substantially higher costs and increases in intraoperative complications.

According to a recent study, low-dose oral bisphosphonates administered to prevent or treat postmenopausal osteoporosis may be associated with a lower risk of skeletal metastasis in patients with early- or more advanced-stage breast cancer.

A large, prospective study shows that teens ages 15 to 19 will use choose and use long-acting reversible contraceptives (LARCs) when they are educated about those methods and given them at no cost.

Results from a study of nearly 100,000 women suggest that increasing skirt size over a lifetime--a proxy for waist circumference-may be an indicator of increased risk of postmenopausal breast cancer.

According to a recent study in the Journal of the National Cancer Institute, the evidence continues to mount for an association between breastfeeding and reduced risk of aggressive breast cancers in African-American women.

Evidence is mounting that robotic surgeons of any training level show significant improvement after a formal skill assessment process.

Javier F Magrina, MD, demonstates the prevention of ureteral injury while performing an endoscopic hysterectomy.

When a jury sees a big corporation in the defendant’s chair, it can have an effect, although it is never a jury’s job to “punish” a corporation.

The big question is whether the robot improves outcomes in gynecologic surgery.

Certain patients are at increased risk of ureteral injury during endoscopic hysterectomy due to differences in anatomy. The right tools and techniques will protect them from injury and complications.

Do the benefits of transvaginal mesh outweigh its risks or should use of the product be confined to randomized trials until until more robust clinical data are available?

Newer surgical techniques to facilitate the extraction of uterine tumors in a containment system have sufficiently advanced to make the small risk of spreading an unanticipated malignancy even smaller.

Readers respond to articles on refractory vulvovaginitis and the bimanual pelvic examination.

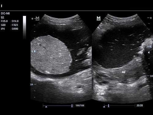
Challenge your diagnostic skills with these images of a pelvic mass.

The North American Menopause Society (NAMS) has issued guidelines for care of women at midlife, based on the textbook Menopause Practice: A Clinician’s Guide. Published in Menopause, the recommendations cover more than 50 topics, including vasomotor symptoms, osteoporosis, and vulvovaginal health.

The clinical and scientific realms of endometriosis have significant gaps, highlighted by persistent delays in diagnosis and underestimates of harm.

Using ultrasound data from more than 4000 pregnancies in women in 8 countries, researchers have identified ideal standards of fetal growth and development.

Are women with early-stage unilateral breast cancer misinformed about the survival benefit of removing both breasts vs lumpectomy with radiation?

According to a recent prospective cohort study in Human Reproduction, women who have a history of severe acne in their adolescent years may be at greater risk of developing endometriosis.

The initial findings from the WHI were concerning, but subsequent detailed analysis and long-term follow-up of women enrolled in these trials have brought perspective.

An ongoing study of African-American women with more than 16 years of follow up suggests that those who deliver very low birth weight or low birth weight infants may be at increased risk of Type 2 diabetes.

An analysis of data from 46 states and the District of Columbia shows that the level of Medicaid reimbursement for office visits has an impact on likelihood of patient screening with Pap tests and other diagnostics for cancer.

Mary Leuchars, MD, discusses the higher prevalence of malignant or pre-malignant polyps in women undergoing recession of indometrial polyps, who are also post-menopausal and who have abnormal uterine bleeding, as reported in the journal Obstetrics & Gynecology.