
All News


The Pelvic Pain and Urgency/Frequency (PUF) patient symptom scale is a diagnostic tool used to screen patients with chronic pelvic pain. Developed by C. Lowell Parsons, MD, the PUF self-report questionnaire uses a symptom score (which measures how often a patient experiences problems) as well as a bother score (which notes the degree to which the symptoms bother the patient); the bother and symptom score combine for a total PUF score. The scale takes about 5 minutes to complete. Scores range between 0 and 35, and studies have indicated that a score greater than 12 is indicative of significant symptoms.

Boston Scientific Corporation has alerted the public about a stolen shipment of medical devices for endoscopy and urology/women’s health.

The FDA and the Federal Trade Commission (FTC) jointly launched the “Fraudulent STD Products Initiative.” This campaign targets over-the-counter (OTC) products sold online or in retail stores that claim to prevent, cure, or treat sexually transmitted diseases (STDs).





Single umbilical artery color doppler, transverse scan of urinary bladder shows single umbilical artery (left), transverse section of umbilical cord showing only two vessels: one vein and one artery (right).

Normal 35 week pregnancy

4D image of 29 weeks pregnancy, multiple anomalies: Clinch hand, omphalocoele, single atrium

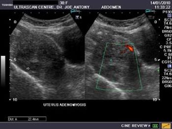
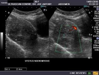
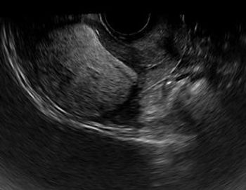
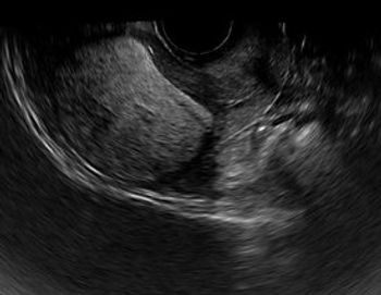
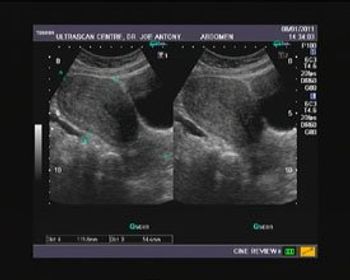
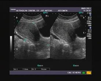
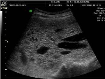
Is this lesion a fibroid or adenomyosis? Patient is a young (38n yr. old) married female with a history of dysmenorrhea and polymenorrhoea.

This is a confirmed case of scar ectopic pregnancy. Yesterday, I carried out this exam in an emergency room, without much time to perform an adequate sonogram, the patient did not feel good with “cramps” but no signs of bleeding.

Normal aspect of the ossification centers of the fetal sternum at 33 weeks. Size of the ossification centers decreases in a cranio-caudal sense.

Leiomyoma that has undergone fatty degeneration.

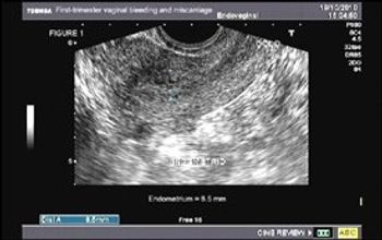
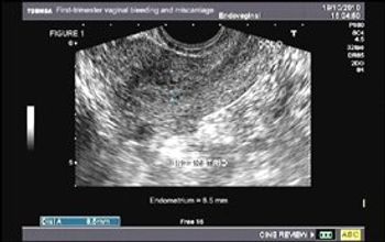
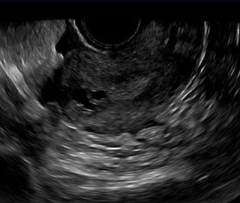
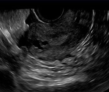
Sagittal image from a transvaginal sonogram in a patient with bleeding after a spontaneous abortion. The endometrium (between cursors) was thick and heterogeneous, measuring 8.5 mm in thickness (Fig1). Color doppler image in same patient shows focal flow (Fig. 2 - arrow) within the heterogeneous endometrium.

Images of "Bulky Uterus"

Cystic spaces in the sub-endometrial myometrium of the fundus.

The patient was a 38 year old G4 P3, 20w4d. I was doing an anatomic survey today. While I was looking at a long axis view of the fetal heart with color Doppler, the baby developed hiccups, and with each contraction of the fetal thorax (which was quite obvious) I could see an explosion of blue color representing blood going through the foramen ovale from right to left.

Although ultrasounds are relatively safe and have become integral tools in medicine, the underlying thermal and mechanical mechanisms have the potential for causing negative biological effects. To protect patients, the National Electrical Manufacturers Association developed standards requiring the on-screen display of thermal indexes (TI) and mechanical indexes (MI) on machines capable of producing MIs or TIs greater than 1.

One in nine women will develop breast cancer during her lifetime, provided she lives to age 85. Most breast cancer is NOT genetically linked – less than 16%. In the study by Stavros et al., July 1995, – over 80% of all sonographic, biopsy proven, solid nodules were benign.

At the time I was starting this blog two patients with similar fibroids came to see me. Both were severely anemic, and one was hemorrhaging and in shock.

Doppler ultrasonography (US) is increasingly being utilized as an imaging modality in breast cancer. It is used to study the vascular characteristics of the tumor.

This random retrospective cross-sectional study was preformed to determine the frequency of uterine malformation in restricted gene pool communities. In 4 groups of women desiring to conceive during their reproductive years, all women lives in lacrete, a community in north Alberta, Canada

Three-dimensional ultrasound (3D US) is a new imaging modality, which is being introduced into clinical practice. Although this technique will not probably replace two-dimensional ultrasound, it is being increasingly used.

Complete Invasive Mole

A 29-year-old gravida 10, para 3 (1 term gestation, 1 preterm gestation of twins, 1 stillbirth at 5 months, 2 spontaneous abortions, and 4 elective abortions) presented to the clinic at about 5 weeks’ gestation with abdominal pain and vaginal bleeding. She described the pain as sporadic, mostly on the left side, exacerbated by movement, and resolving with rest, and the bleeding as initially intermittent but then heavier “like a period.”

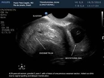
Implantation in the scar of a previous Cesarean is thought to be the rarest of ectopic pregnancies. With the increasing numbers of Cesareans performed, scar implantation may become more frequent as well. We present an illustrative case.

This study contributes to advances in knowledge by understanding the history of fetal gender and the ethical dilemma of choosing or detecting fetal gender at first trimester of the pregnancy. It gives new prospective and method to detect fetal gender as early as possible to better manage some genetic disease which can be found in male or female fetuses.