
Contraception
Latest News
CME Content


At the time I was starting this blog two patients with similar fibroids came to see me. Both were severely anemic, and one was hemorrhaging and in shock.

More than half of the 600,000 hysterectomies performed in the 1900s involved bilateral salpingo-oophorectomy, and it has been estimated that many of those were performed solely to reduce the risk for ovarian cancer. While there has been increased knowledge in the risk in women with familial history, a knowledge gap still exists for other women, which could lead them down the path of potentially unnecessary surgery

A recent survey found that US ob/gyn residents need more education about the benefits of the IUD in addition to evidence-based recommendations for IUD candidate selection.

Intrauterine devices (IUDs) represent a safe and effective option for preventing unwanted pregnancies. Yet studies have shown that gynecologists still have concerns over its safety and do not utilize evidence-based criteria to assist in the selection of IUD candidates. In order to overcome this obstacle, it is imperative that current obstetric and gynecology residents are receiving correct information on this treatment modality-but are they?

As clinicians and patients strive to find oral contraceptives that are safe and effective, newer varieties have emerged on the market. Venous thromboembolism, an adverse event that has been associated with third-generation oral contraceptives, is a serious concern, especially with the growing popularity of these newer contraceptives.

Untreated sexually transmitted infections (STIs) in pregnancy can lead to such negative outcomes as spontaneous abortion, preterm birth, low birth weight, congenital infections, and other abnormalities.

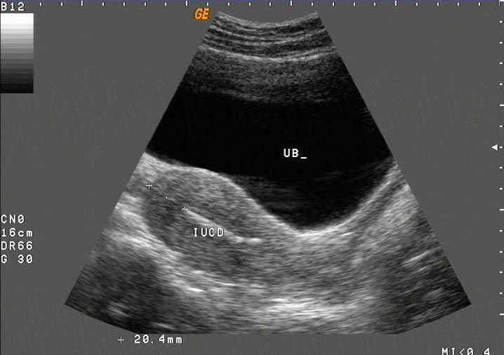
Incorrectly positioned intrauterine devices (IUDs) make intrauterine pregnancy (IUP) more likely, with more than half of IUDs identified during the first trimester of pregnancy malpositioned, according to a study published online Feb. 24 in the American Journal of Obstetrics & Gynecology.

Intrauterine devices (IUDs) can be a safe, effective, and relatively easy birth control option. However, pregnancy can occur if the IUD dislodges or is not placed properly. Dr Elysia Moschos, associate professor of obstetrics and gynecology, and Dr Diane M. Twickler, professor of radiology, at the University of Texas Southwestern Medical Center in Dallas, studied ultrasound findings, clinical symptoms, and outcomes for women with first-trimester pregnancies despite having intrauterine devices to better understand this issue.

March 9, 2010 a 46 year old woman came to me having been told that she needs a hysterectomy because of heavy bleeding from her fibroid. She wanted to know her options. Ultrasound showed a tennis ball size fibroid that was 2/3 in the uterine wall and 1/3 in the cavity of the uterus.

Teen birth rates in the United States have declined over the last two decades, but they remain high, according a Vital Signs report in the April 5 early-release issue of the U.S. Centers for Disease Control and Prevention's Morbidity and Mortality Weekly Report.

Medical abortions by mid-level providers (MLPs), up to nine weeks gestation, are as safe and effective as those provided by doctors, according to a study published online March 31 in The Lancet.

The use of progestin-estrogen oral contraceptive pills (OCPs) in women prior to becoming pregnant does not appear to increase the risk of adverse respiratory outcomes in offspring, according to a study presented at the annual meeting of the American Academy of Allergy, Asthma & Immunology, held from March 18 to 22 in San Francisco.

A 43 year old woman came to me with irregular bleeding despite being on birth control pills. Her OB/GYN had inserted a Mirena® IUD 7 months ago, which failed to stop her irregular bleeding.

Most adults in the United States have experienced vaginal sex, but the number of younger adults reporting no sexual contact has increased since 2002, according to the March issue of the U.S. Centers for Disease Control and Prevention's National Health Statistics Report.

When used properly, oral contraceptives are extremely effective in preventing unintended pregnancies, yielding only 3 pregnancies per 1000 users in the first year of use. In reality, however, women may not be as adherent as necessary to obtain this ideal rate-studies have shown that about 50% of women regularly miss at least 1 pill per cycle.

The U.S. teenage birth rate has resumed its decline, reaching a historic low in 2009, according to a report published in the U.S. Centers for Disease Control and Prevention's National Center for Health Statistics (NCHS) February Data Brief.

Evidence shows that combined oral contraceptives are contraindicative in women who have migraines with auras (MA) due to increased risk of ischemic stroke. So what can these women do?

Despite the wide range of contraceptives available, almost 50% of pregnancies in the United States are unintended, with the highest rates among women aged 18 to 24 years. Meanwhile, few studies have explored contraceptive responsibility and no studies since the 1980s have looked at female college students’ perceptions of such. Without this data, physicians and health educators are unable to adequately and effectively address STD and pregnancy prevention among this patient population.

Women do not appear more likely to seek out psychiatric help after a first-trimester abortion than before one, according to research published in the Jan. 27 issue of the New England Journal of Medicine.

Family physicians have training and knowledge gaps that result in missed opportunities to offer intrauterine contraception (IUC) as a form of birth control to eligible patients, according to a study published online Dec. 3 in Contraception.

A 30 y/o woman, P1001, sought a second opinion from me regarding the following situation: She just had her first baby, and has a history of symptomatic endometriosis including some difficulty in achieving pregnancy (but did so without medical intervention). She was advised by another physician that she should use either depo or the progestin only pill for the next 6-12 months (while she is breastfeeding) to prevent the progression of endometriosis.

Menopausal women treated with the selective serotonin reuptake inhibitor escitalopram have fewer, and less severe, hot flashes than women taking a placebo, according to a study published in the Jan. 19 issue of the Journal of the American Medical Association.

Questions answered by Harvey Marchbein, MD

Questions answered by Harvey S. Marchbein, MD












