
Endometriosis
Latest News
Latest Videos
CME Content
More News

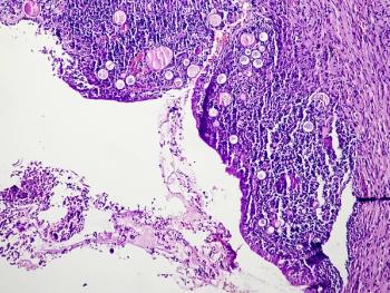
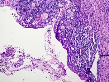
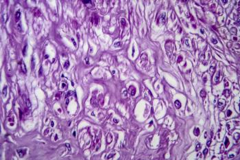
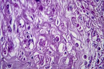
A case report of infiltrative endometriosis without endometrioma underscores the need to consider endometriosis in the differential for patients with pelvic masses and to recognize possible features that might indicate the diagnosis.

A literature search revealed there is no international agreement on how to characterize or classify endometriosis.

Testing for pelvic floor tenderness during routine pelvic exams for women with chronic pelvic pain or endometriosis may help identify women who have heightened overall pain sensitivity.

Although bacteria are altered in endometriosis, there is no definitive consensus on specific microbiota compositions linked to the disease, according to a review in Human Reproduction Update.

“Studies like ours may open a new venue of treatment for women with chronic pelvic pain, especially when associated with pelvic floor muscle spasm,” said principal investigator Barbara Karp, MD.

Women exposed to pesticides containing trans-nonachlor were 3.38 times more likely to develop endometriosis (P <0.0001), and for PCB 114 the increased risk was 1.83 (P =0.009).

At AAGL's 50th Global Congress on MIGs, Smitha Vilasagar, MD, FACOG, discussed the diagnosis, treatment, and management of endometriosis in children and adolescents.

A systemic review and meta-analysis in the Archives of Gynecology and Obstetrics has found epidemiological evidence that endometriosis and irritable bowel syndrome (IBS) are connected.

The life impact of endometriosis is similar to other chronic disorders, especially for pain, according to a narrative literature review in the International Journal of Internal Medicine.

A study has found that women with a diagnosis of endometriosis have significantly greater depressive symptomatology, sexual distress, and catastrophizing than age-paired healthy women.

An online explorative observational study in the journal Reproductive BioMedicine Online has found that there are no specific dietary adjustments to increase quality of life among Dutch endometriosis patients.

A study published in Frontiers in Endocrinology correlates US women’s multiple chemical exposures to uterine leiomyoma (UL) or uterine fibroids (UF) and endometriosis (EM).

Several dietary supplements and nutrients potentially provide benefits in preventing and treating common gynecological diseases like uterine fibroids (UFs), endometriosis, polycystic ovarian syndrome (PCOS), infertility, menstrual disorders and vaginal infections, according to an article in the journal Nutrients.

A randomized controlled study in Pain Research & Management validates the potential role of antioxidants in managing endometriosis.

Due to the rarity of the disease and its variability in clinical presentation, the condition is hardly recognized by some health care professionals, leading to a delayed diagnosis.

The researchers developed a potential model for using precision medicine to improve pregnancy outcomes.

Women who undergo endometriosis surgery via diagnostic laparoscopy are significantly more likely to require repeat surgery within the first postoperative year, whereas women who have major conservative surgery are significantly less likely to require another surgery within the first year, according to a Canadian study in the American Journal of Obstetrics and Gynecology.

Oral contraceptive pills (OCPs) and progestogens are effective treatment in two-thirds of women with symptomatic endometriosis, according to a review in the Journal of Clinical Medicine.

A systematic review of the effectiveness of dietary interventions to treat endometriosis in the journal Reproductive Sciences has found a potential benefit of the Mediterranean diet and antioxidant supplementation on endometriosis-associated pain.

This indication is approved under accelerated approval based on tumor response rate and durability of response.

The diagnosis and treatment of diaphragmatic endometriosis (DE) is often delayed, due to lack of awareness by patients and healthcare professionals alike, according to an international patient survey.

Researchers from a study published in Cancers discovered a new method of detecting endometrial cancer in women via a simple, non-invasive blood test.

Research indicates that women with endometriosis are prone to physical, psychosocial, social, and sexual disturbances and obstetrical complications, according to a literature search of the impact of endometriosis on various aspects of reproductive health in the Journal of Obstetrics and Gynaecology.

A prospective study in the journal Ultrasound in Obstetrics & Gynecology has found that women treated with pelvic floor physiotherapy showed a significant improvement in pelvic floor relaxation, superficial dyspareunia and chronic pelvic pain, in comparison to women who did not receive treatment.

A study in the Journal of Obstetrics and Gynaecology found that dienogest was effective in decreasing the size of endometrioma and reducing endometriosis-associated pain, along with a favorable safety and tolerability profile.























