
Gynecologic Oncology
Latest News
Latest Videos

CME Content
More News

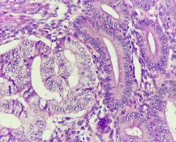
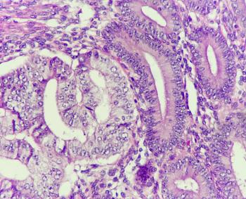
The annual percentage changes of cervical cancer incidence and mortality in Appalachian Kentucky from 2009 to 2019 were 2.9% and 4.5% respectively.

Review some of the top stories from the Contemporary OB/GYN website over the last week, and catch up on anything you may have missed.

In a recent study, overall and cervical-cancer specific deaths were more common among cervical cancer patients with a preexisting mental health disorder.

Peter Minneci, MD, MHSc, discusses a study evaluating a new algorithm capable of accurately identifying benign lesions in female patients.

In a recent study, patients with early-stage cervical cancer receiving radical hysterectomy had increased survivability.

In a recent study, ages at menarche and menopause, as well as pregnancy history, impacted the risk of endometrial cancer.

In a recent study, Black patients experienced more delays in receiving endometrial cancer care than White patients.

The effects of GARDASIL 9 (Human Papillomavirus 9-valent Vaccine, Recombinant) in patients aged 9 to 15 years has indicated efficacy, according to a recent long-term follow-up study.

In a recent study, the prediction values of cervical cancer prediction models increased significantly when human papillomavirus genotypes were included in the evaluation.

In a recent study, high sensitivity and specificity were found for differentiating between benign and malignant lesions when using the Assessment of Different Neoplasias in the Adnexa and Ovarian-Adnexal Reporting and Data System models.

Jeff Andrews, MD, FRCSC, Vice President of Medical Affairs for Integrated Diagnostic Solutions at BD, discusses the link between human papillomavirus (HPV) and cervical cancer, and how HPV self-sampling kits may increase rates of cervical cancer screening.

Anne Banfield, MD, discusses the highlights from her presentation on primary HPV screening at the 2023 ACOG Annual Clinical and Scientific Meeting in Baltimore, Maryland.

In a recent study, under-screened patients were more likely to receive cervical cancer screening after receiving at-home high-risk human papillomavirus sampling kits.

In a recent study, patients receiving interventions designed to increase adherence to screenings for breast, cervical, or colorectal cancers were more likely to be up to date on any or all screenings.

Jonathan Miller, MD, pediatrician and chief of primary care, pediatrics, at Nemours Children's Health in the Delaware Valley, spoke about the latest data regarding early HPV vaccination in children as young as 9 at the 2023 Pediatric Academic Societies meeting.

In a recent study, female patients born by cesarean delivery were more likely to experience early-onset colorectal cancer.

In a recent study, histologic subtype accounted for 54.1% of the excess relative risk for Black patients compared to White patients with uterine cancer.

In a recent study, women diagnosed with cancer during pregnancy and postpartum periods experienced greater rates of mortality than those diagnosed outside of pregnancy.

In a recent study, women taking higher cumulative dosages of hormone therapy had a reduced risk of developing lung cancer.

The FDA has granted a regular approval to dostarlimab-gxly (Jemperli; GSK) for adult patients with mismatch repair–deficient, recurrent or advanced endometrial cancer that has progressed on or after a prior platinum-containing regimen in any setting and who are not candidates for curative surgery or radiation.

This month is a perfect opportunity for ob-gyns and other women’s health care providers to raise awareness about cervical cancer and HPV vaccination.

Sarah Crafton, MD, details how sentinel lymph node mapping can help identify the stage of uterine cancers and lead to better patient care.

Teenaged girls at average risk don’t need Papanicolaou tests, but some special populations do.

Drs Emily K. Hill, Sangini S. Sheth, and Mark H. Stoler share practice pearls for HPV and cervical cancer screening and express their hope for emerging testing options.

Experts in obstetric and gynecologic management provide insight on the role of HPV genotypes in cervical cancer risk.


























