
Could the approval of bevacizumab for advanced cervical cancer and platinum-resistant ovarian cancer last year lead to patient-specific therapies?

Could the approval of bevacizumab for advanced cervical cancer and platinum-resistant ovarian cancer last year lead to patient-specific therapies?

Vaginal estrogens are effective options for managing bothersome symptoms related to genitourinary syndrome of menopause in postmenopausal women.

New evidence reveals that risk prediction for breast cancer is imperative in women with atypical hyperplasia of breast tissue.

According to a new study in Gynecologic Oncology, women who have polycystic ovary syndrome (PCOS) may be at greater risk of developing some types of cancer.

An ADP-ribose polymerase (PARP) inhibitor has received accelerated approval from the US Food and Drug Administration (FDA) for treatment of women with heavily pretreated ovarian cancer associated with defective BRCA genes.

Women at risk of ovarian cancer and who are undergoing hysterectomy should be counseled about the possible benefits of salpingectomy, according to a new committee opinion from the American College of Obstetricians and Gynecologists.

The FDA has approved olaparib, to be marketed under the name Lynparza, for the treatment of advanced ovarian cancer related to defective BRCA genes.

Addressing the emotional component of a patient's diagnosis isn't often feasible, but these tools can help patients with this important aspect of healing.

On December 10, 2014, the US Food and Drug Administration (FDA) approved Gardasil 9 (Human Papillomavirus [HPV] 9-valent Vaccine, Recombinant) for the prevention of certain diseases caused by 9 types of HPV.

A new (theoretical) model using multiple data points, including genetic testing for BRCA genes, could identify women at greatest risk for breast cancer.

Studies of the impact of diet on risk of ovarian cancer are limited and their results unclear but a new report based on data from the Nurses’ Health Study (NHS) suggests a possible association between high intake of flavonoids and black tea and lower risk of the disease.

Voters in North Dakota sent a clear message that health care decisions, from pregnancy to end-of-life care, must involve only patients and their physicians.

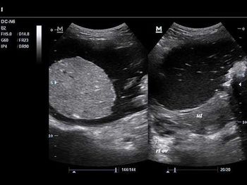
Challenge your diagnostic skills: What's causing this woman's pelvic discomfort?

A consequence of Measure 1, which may or may not be a "personhood" amendment, is that IVF and other infertility services in North Dakota will end.

cfDNA gives insight into the pathogenesis of serious disease and early information about benign conditions.

Two experts discuss whether a DNA test can replace the Pap.

A new app, called ADNEX, helps distinguish between benign and malignant ovarian tumors, potentially improving triage and management decisions.

Breast cancer awareness campaigns are great, but they should be expanded to provide more clinician education on health disparities and to target women most at risk.

New research looking at complication rates and cost for oophorectomy and cystectomy favors conventional laparoscopy over robotic surgery.

According to a recent study, low-dose oral bisphosphonates administered to prevent or treat postmenopausal osteoporosis may be associated with a lower risk of skeletal metastasis in patients with early- or more advanced-stage breast cancer.

The tablet form of olaparib, given with chemotherapy, is promising in pretreated ovarian cancer patients with BRCA mutations, an investigational study finds.

When a jury sees a big corporation in the defendant’s chair, it can have an effect, although it is never a jury’s job to “punish” a corporation.

Challenge your diagnostic skills with these images of a pelvic mass.

Urine tests effectively screen for HPV, but more data is needed to determine whether they can correctly diagnose cervical disease.

Look no further: The North American Menopause Society has issued recommendations that offer the latest information for managing a woman's health through menopause.