
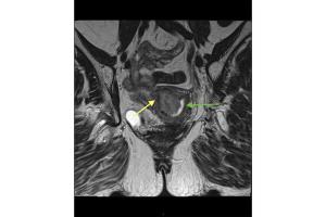
These ten images can help ob/gyns recognize the additional information GBCA administration provides in MRIs.

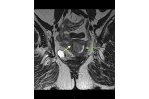
These ten images can help ob/gyns recognize the additional information GBCA administration provides in MRIs.

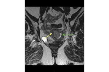
Gadolinium-based intravenous contrast agents (GBCA) provide additional information based on signal intensity changes after GBCA administration.

Concerns have been raised about the safety of GBCA. Experts review the latest data to support counseling of patients who may have repeated exposure.

Published: September 19th 2019 | Updated:

Published: October 3rd 2019 | Updated:

Published: November 4th 2019 | Updated: