
A recent study aimed to examine characteristics of real-world use patterns among a large sample of American women.


A recent study aimed to examine characteristics of real-world use patterns among a large sample of American women.

While water fluoridation has great benefits for tooth decay prevention, research indicates that in pregnant women, fluoride crosses the placenta and accumulates in brain regions involved in learning and memory.


Management of OSA in pregnant women should continue through the postpartum period and should be multidisciplinary.

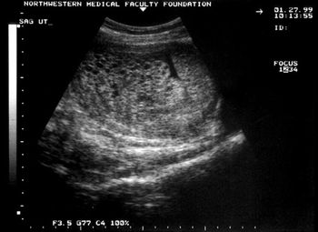
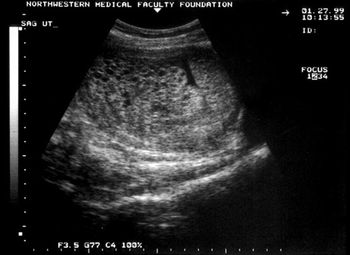
Ultrasonography plays a critical role in the diagnosis of both complete and partial molar pregnancy.

As more women in wealthy countries choose to birth at home, concerns persist about perinatal and neonatal mortality in an out-of-hospital delivery setting.

New research explores the reasons why women turn to alcohol, tobacco, and cannabis during pregnancy

CSP is a challenge but management is possible with a multidisciplinary approach.

A recent review examined how effective pregnancy support programs are in reducing low birthweight or preterm birth prevalence.

New research explored whether umbilical cord milking in preterm infants improves functional cardiac outcomes, neonatal morbidity or mortality.

Results of a new study by investigators in UK call into question whether ursodeoxycholic acid should be used to treat pregnant women with intrahepatic cholestasis.

New data suggests that while imaging practice patterns have changed over the past 20 years, exposure in pregnancy may vary by a woman’s age and race.

A systematic review and meta-analysis by UK authors sheds new light on social outcomes in adults who were born preterm or at LBW.

Vacuum deliveries have largely been on the decline and the trend is not likely to reverse.

A new analysis tested the hypothesis that maternal anthropometric characteristics were associated with increased risk of subsequent childhood cancer development.

A recent analysis suggests that after a certain number of gestational weeks, the risk of stillbirth increases dramatically.

For a patient with a short cervix, you may want to consider using a pessary during her pregnancy.

Although two tocolytic agents have been used as monotherapies to prevent PTB, a recent study found they were more effective in combination.

A recent study examined whether using an expanded definition for hypertension would result in better identification of women at risk for gestational hypertension.

Here's how ob/gyns should counsel their pregnant patients to ensure their pregnancy is not complicated by measles.

Three cases illustrate the unique challenges ob/gyns face while caring for SCD patients at various life stages.

Going through this short checklist can help minimize risk and ensure a successful delivery.

Although the syndrome is named after the "father of hereditary cancer," it hasn't always been referred to as such.

Rising cesarean delivery rates along with inadequate training has largely sidelined vacuum deliveries, even though the procedure has its benefits.

Many pregnant patients have turned to the drug for relief of hyperemesis, but little is known about associated adverse maternal, perinatal, and neonatal outcomes.