
When a jury sees a big corporation in the defendant’s chair, it can have an effect, although it is never a jury’s job to “punish” a corporation.

When a jury sees a big corporation in the defendant’s chair, it can have an effect, although it is never a jury’s job to “punish” a corporation.

An expert commentary on ACOG Practice Bulletin No. 130: Premature Rupture of Membranes.

Challenge your diagnostic skills with these images of a pelvic mass.

Severe influenza in pregnancy is a hyperinflammatory disease and not a state of immunodeficiency as previously thought.

For some women, maternity leave is just too costly. Do you think paid leave programs would keep your pregnant and postpartum patients healthier?

A new lifelike birth simulator with all the bells and whistles needed to mimic various L&D scenarios may have just raised the bar for competency trainers.

New research has identified a select group of patients who may benefit from vaginal progesterone to reduce the risk of preterm birth.

Challenge your diagnostic skills with these images of the left hemipelvis of a young woman.

Researchers are learning that gestational age is not the only factor that influences survival of extremely preterm infants.

There is a movement under way to make oral contraceptives over the counter. As a clinician, would you be in favor of this?

Problem: The economic and clinical costs associated with multiple births resulting from IVF. Solution: Single-embryo transfer is paramount.

Exposure to two common phenols, parabens and triclosans, may disrupt the growth of boys in utero and during their first years of life.

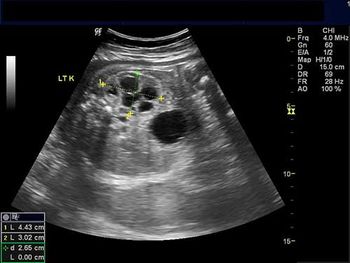
Challenge your diagnostic skills with these images of fetal kidneys.

It is now recommended that all adults, including pregnant women, get a flu shot. So how do you-or don't you-convince your more skeptical patients?

A weight management program (diet and exercise advice, weekly group meetings) helped obese pregnant women limit weight gain and have healthier babies.

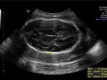
Challenge your diagnostic skills with this image of a fetal head.

Magnesium sulfate has its uses, but it's ineffective for delaying or preventing preterm birth; also, using it as a tocolytic could spell trouble for baby.

New moms want guidance and support when it comes to breastfeeding, and they report that clinicians generally fail to provide either.

This case demonstrates the utility of 3D ultrasound, using the coronal plane as a reference point, for patients with an IUD who have pelvic pain.

Challenge your diagnostic skills: See anything out of the ordinary in the kidneys of this third trimester fetus?

Black women born with low birth weight are at increased risk for the later development of type 2 diabetes mellitus, research shows.

A recent report from the Centers for Disease Control and Prevention shows that the number of induced deliveries is on the decline after almost 20 years of increases. The data are taken from the Natality Data File from the National Vital Statistics System and represent births in singleton deliveries, which are the majority of newborns.

A new scanning device-the RF Assure Delivery System-may make manual counting and vaginal sweeps for avoiding retained sponges or gauze a thing of the past.

Pregnant teens are more likely to engage in pica, a behavior characterized by compulsive cravings for nonfood items. Anemia may have something to do with it.

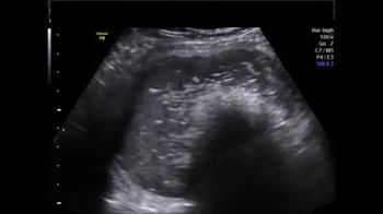
Challenge your diagnostic skills: See anything out of the ordinary in this second trimester fetal heart study?