
QUIZ: These images reveal a defect in the fetal head. What do you see?

QUIZ: These images reveal a defect in the fetal head. What do you see?

Hospital births and obstetricians are not the enemies of low-intervention spontaneous vaginal delivery.

There isn't enough evidence to recommend chewing gum after a c-section or other surgery to improve GI function, but the practice won't hurt.

Charging by the pound is great for produce but not so great for babies.

New research highlights a way to reduce the rate of unintended pregnancies, but it requires two changes to current policy.

In the latest volley in the ongoing controversy regarding the safety of some forms of hysterectomy, the country’s largest insurer will soon begin requiring prior authorization for many of the procedures. The action, taken by UnitedHealthCare, takes effect April 6, 2015 and does not apply to outpatient vaginal surgeries.

Research in Denmark showed that elective inductions beginning at 37 weeks' gestation were associated with improved outcomes in babies.

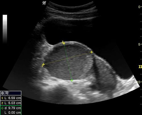
QUIZ: These images are from a young woman with pelvic pain. What do you see?

A peer support telephone program manned by volunteers and run by nurses showed promise in reducing symptoms of postpartum depression.

Knowledge of fetal lung maturity provides useful adjunctive information that is unique and relevant to a patient.

Children with in utero exposure to cigarette smoke from mom or dad's smoking habit are predisposed to diabetes in adulthood.

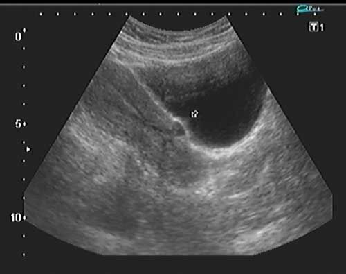
QUIZ: These images are from a patient who has had a c-section. What do you see?

CMV is a viral infection that can have devastating effects on unborn babies. Do you educate your obstetric patients about CMV prevention?

Contemporary OB/GYN provides information on the latest research on the possibility of a link between cardiovascular disease and spontaneous preterm birth; whether or not contraceptive expiration dates might be conservative; and helping answer the question of whether or not the HPV vaccine causes more sexual activity.

Do these images of the fetal brain point to a congenital anomaly or something else?

Treatments to remove precancerous cervical lesions don't seem to affect a woman's ability to become pregnant, new research found.

The Joint Commission has revised its definition of sentinel event, causing confusion about how these events now relate to severe maternal morbidity.

Severe maternal morbidity is not always a sentinel event. Take this quiz to test your understanding of what constitutes an obstetric sentinel event.

SMFM 2015: New research shows that fetuses of a certain sex are at increased risk for spontaneous preterm birth.

Use of intracytoplasmic sperm injection in cases unrelated to male factor infertility may negatively affect outcomes, new research suggests.

This second-trimester fetus has a renal abnormality. Can you identify it?

SMFM 2015: A failed result on noninvasive prenatal testing (NIPT) may provide insight into what subsequent tests may find, research reveals.

Contemporary OB/GYN provides information on the latest research from SMFM's annual Pregnancy Meeting.

New research from SMFM 2015 shows women whose mothers had preeclampsia or low birth weight are more likely to have the condition in pregnancy.

Probiotics don't improve the metabolic health of women with GDM but may help those at risk for future metabolic and cardiovascular disease.