
Black women born with low birth weight are at increased risk for the later development of type 2 diabetes mellitus, research shows.

Black women born with low birth weight are at increased risk for the later development of type 2 diabetes mellitus, research shows.

A recent report from the Centers for Disease Control and Prevention shows that the number of induced deliveries is on the decline after almost 20 years of increases. The data are taken from the Natality Data File from the National Vital Statistics System and represent births in singleton deliveries, which are the majority of newborns.

A new scanning device-the RF Assure Delivery System-may make manual counting and vaginal sweeps for avoiding retained sponges or gauze a thing of the past.

Pregnant teens are more likely to engage in pica, a behavior characterized by compulsive cravings for nonfood items. Anemia may have something to do with it.

Challenge your diagnostic skills: See anything out of the ordinary in this second trimester fetal heart study?

New research may debunk a 20-year practice of prescribing low molecular weight heparin (LMWH) to pregnant patients at risk for blood clots.

New research shows a vitamin D deficiency could be to blame in women who undergo in vitro fertilization (IVF) yet fail to conceive.

Challenge your diagnostic skills: See anything atypical with this 8-week pregnancy?

Breech babies are less likely to die when delivered via c-section than when delivered vaginally, according to new data out of The Netherlands.

New research has found startling differences in complication rates for both vaginal and cesarean deliveries between low- and high-performing hospitals.

Amniocentesis, CVS, noninvasive prenatal testing, microarray . . . the rapid advancements in prenatal genetic testing can be dizzying. These 7 expert tips can help navigate the gamut.

Animal models find mild to moderate stress in pregnancy can have a compounding effect across generations, increasing a placental marker for preterm birth.

Challenge your diagnostic skills: Do these images depict normal limb growth?

Texts, emails, and voicemails may prove effective in getting surgical patients to follow preadmission instructions aimed at reducing surgical site infections.

Folic acid (vitamin B9) can prevent neural tube defects, but how much is needed to substantially reduce risk? Find out here.

Challenge your diagnostic skills: What’s the source of pain in this middle-aged woman?

“Dosing of oxytocin and timing of level of increase in dose has been the subject of many scientific publications,” noted study coauthor and Contemporary OB/GYN editorial board member Haywood Brown, MD.

Cesarean section surgical technique is best left up to the surgeon’s preference, according to the latest Cochrane recommendation.

As a specialty, Ob/Gyn seems immune to the so-called “July Phenomenon. But are your patients safe from the errors that eager first-years of other specialties may make?

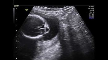
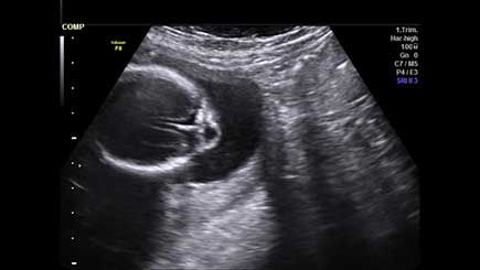
Challenge your diagnostic skills: Anything unusual about this fetal head?

Good news: Use of antidepressants in early pregnancy is not to blame for fetal cardiac malformations, should one occur.

Obstetricians: Want to know what your patients wish you had told them before delivery? We surveyed a group of moms and are sharing the top 10 responses.

Midwifery and obstetrics don’t need to be mutually exclusive disciplines. Here are 6 examples of how midwives and OBs can give complementary care that benefits patients.

Letrozole, a breast cancer drug, was compared with clomiphene as a fertility treatment for women with polycystic ovary syndrome. Find out which drug performed best.

Challenge your diagnostic skills: Anything notable in these images of a fetal heart?