
New research shows that obstetricians may need to rethink how they screen certain patients for gestational diabetes mellitus.

New research shows that obstetricians may need to rethink how they screen certain patients for gestational diabetes mellitus.

Maternal deaths related to childbirth in the US are nearly at the highest rate in a quarter century, and we’re just 1 of 8 countries to experience an increase.

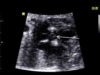
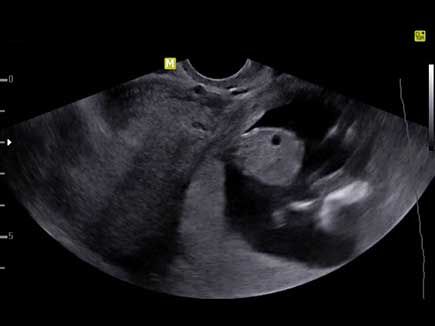
A routine ultrasound exam of a 28-week fetus revealed what looked to be a cystic lesion. The addition of Doppler, however, changed the diagnostic picture.

Taking omega-3 fatty acid docosahexaenoic acid (DHA) in pregnancy doesn’t make your offspring smarter but does make preterm delivery less likely.

Is labor induction or expectant management better in term or post-term pregnancies? The findings from a new meta-analysis offer some insight.

New research finds that obstetricians may be overlooking an at-risk group for implementing stillbirth prevention strategies.

This case report features an underappreciated clinical entity-angular pregnancy. What do you know about this rare obstetric complication?

“The c-section you do today impacts the future health of the woman you’re caring for.” So said Aaron B. Caughey, MD, of Oregon Health & Science University, Portland, in his lunch-and-learn “The Cesarean Epidemic: Etiologies, Outcomes and Potential Solutions” on Monday. What’s more, he pointed out, “the c-section you do today leads to the repeat … [which] leads to the repeat … [which] leads to the accreta in 8 years.” But Caughey did not place blame for the so-called epidemic with either doctors or patients.

New research shows when it’s cost-effective to use placental alpha-microglobulin-1 over pooling, nitrazine, and ferning for diagnosing premature rupture of membranes.

Challenge your diagnostic skills: Can you identify this anomaly of the fetal face and brain?

Skin closure after a cesarean delivery is quicker with the use of staples, but are patients satisfied with the results of this closure method?

New research presented at ACOG 2014 shows that inadequate weight gain in the second trimester is an independent risk factor for spontaneous preterm birth.

Proposed changes aim to reduce prematurity rates by relieving financial pressures that lead to choosing treatments more likely to result in multiple gestations.

Reports of women being criticized for “intense” workouts in late pregnancy are circulating the Web. Are these criticisms clinically warranted, or are the criticizers just bullies?

Placing a newborn on the mother’s abdomen or chest immediately after delivery and before the umbilical cord is clamped doesn’t affect placental transfusion volume.

Challenge your diagnostic skills: Can you identify this anomaly?

New research shows that too much or too little maternal weight gain in pregnancy is associated with the child’s risk of being overweight or obese in early childhood.

A new meta-analysis has quantified the risk of preeclampsia and other adverse pregnancy outcomes in women with chronic hypertension.

Challenge your diagnostic skills: Can you identify this well-known anomaly?

The safety of fertility drugs has been a concern to physicians and patients alike. A new study assessing fertility drugs and breast cancer risk has reassuring results.

Not losing any baby weight within 1 year after delivery increases a woman’s risk of diabetes and heart disease, new research shows.

Challenge your diagnostic skills: Can you identify this cardiac defect?

The number of live births a woman has had may indicate her risk of heart disease, adding to evidence that body changes in pregnancy play a role in cardiovascular disease.

Patients undergoing IVF do better with strong social support, but many of these patients feel isolated and don’t share their fertility struggles. Can mindfulness help?

According to a recent study in The Lancet, a reduction in preterm births and childhood hospital visits for asthma are additional benefits to public smoking bans.