
The use of a single 1.5-mg dose of levonorgestrel instead of two 0.75-mg doses given 12 hours apart is a viable alternative method of emergency contraception.

The use of a single 1.5-mg dose of levonorgestrel instead of two 0.75-mg doses given 12 hours apart is a viable alternative method of emergency contraception.

The risk of infant death nearly doubles and risk of fetal death quadruples when mothers have pre-existing diabetes, new research shows.

Blood clots are 4 to 6 times more likely to develop in pregnant women hospitalized for reasons unrelated to delivery. Provided here are 7 action steps to prevent this complication.

What's your diagnosis based on these images of the fetal neck?

Promoting health and wellness, including an increase in fruit intake and receipt of a steady paycheck, may help reduce pregnancy complications, study finds.

According to a recent study, parity and mode of delivery do not have a significant impact on women's long-term sexual satisfaction.

Pregnant patients who have undergone some form of bariatric surgery are at greater risk of preterm birth than women who haven’t had the procedure, according to a study published in the British Medical Journal. The risk of small for gestational age (SGA) was also increased in women with previous bariatric surgery.


Fourteen percent of infertile patients have uterine cavity abnormalities despite normal ultrasound examination findings, research shows.

Laparoscopy for ruptured ectopic pregnancy and massive intra-abdominal bleeding was associated with shorter operative time and less intraoperative blood loss than laparotomy.

Immunotherapy in pregnant women with allergic rhinitis could help decrease the risk of allergies developing in their infants, a pilot study finds.

A low-cost instrument that an auto mechanic invented to ease assisted vaginal delivery is being tested by the World Health Organization (WHO). If proven safe and effective, the Odon Device would be the first innovation in operative vaginal delivery since the forceps and vacuum extractor.

Discontinuation rates at 6 months among users of long-acting reversible contraceptive methods are low and not increased among adolescents and young women.

Babies born to women who have undergone bariatric surgery for weight loss were more likely to be premature and to be small for gestational age.

What is your diagnosis based on these images of the fetal heart?

New research shows that babies born to mothers who exercised during pregnancy have more mature brains than babies whose mothers did not exercise.

Outcomes were similar for planned cesarean delivery and vaginal delivery of twins. Also, cesarean section does not reduce the higher risk of adverse outcomes for the second twin.

Outpatient hysteroscopic metroplasty with bipolar electrode is an effective treatment in patients with infertility related to septate uterus.

Non-white women with low levels of vitamin D are more likely to deliver preterm than white mothers, according to a new study in the American Journal of Epidemiology.

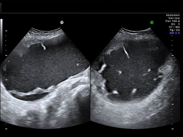
When a 35-year-old woman presented for her first ultrasound at 30 weeks’ gestation, the images revealed a very rare condition. Can you identify it?

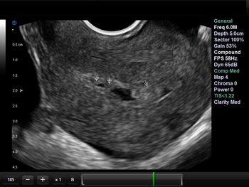
What is your diagnosis based on these images from a young woman with irregular menses?

The risk of venous thromboembolism is increased more than 17-fold when a pregnant woman is hospitalized for reasons other than delivery, research shows.

All pregnant women should be tested for diabetes by 13 weeks’ gestation and tested again for gestational diabetes between 24 and 28 weeks’ gestation, say new guidelines.

Six states received an “A” grade on the March of Dimes’s 2013 Premature Birth Report Card but the country overall achieved only a “C.” That is despite a drop in rates of preterm birth for the sixth consecutive year.

A new study has shown that acetaminophen use in pregnancy may be associated with neurodevelopmental adverse effects in the offspring of women who used the drug.