
New research underscores the need for improved awareness among caregivers about how to best protect pregnant patients from blood clots before delivery.

New research underscores the need for improved awareness among caregivers about how to best protect pregnant patients from blood clots before delivery.

Delivery at or near a high-volume cardiac surgical center offers the best outcome for neonates with hypoplastic left heart syndrome, new research shows.

A fertility pen, redesigned to incorporate updates and new features developed from patient and provider feedback, has been FDA approved and will be available December 2013.

The ethical issues between two new technologies are stark. One aims to cure disease, whereas the other threatens to alter fundamentally the parent-child relationship.


New research confirms that use of metoclopramide, commonly used for nausea and vomiting, in early pregnancy does not increase risk of major malformations.

Preterm birth increases the risk of infant mortality and autism, but poor academic and social outcomes are likely caused by confounding factors and not preterm birth itself.

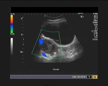
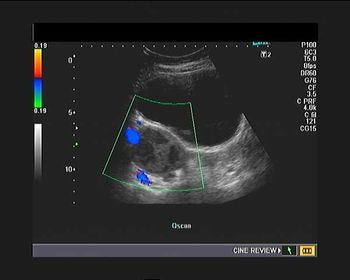
What is your diagnosis in this 7-year-old girl who presented with left pelvic pain?

To better balance the use of ultrasound and the time needed to ensure that an early pregnancy is not incorrectly declared nonviable, a group of experts have introduced new diagnostic thresholds.

A new study in Anesthesia & Analgesia indicates that the incidence of severe and fatal sepsis during labor and delivery is on the rise in the United States.

Abuse inflicted during childhood is lasting. Remember that adult patients may be survivors of child abuse, which makes them at risk for being in abusive relationships and for abusing their own children.

The outcomes of infants with poor fetal growth are better than what has been historically reported, according to preliminary study results.

What is your diagnosis of this facial anomaly in a 24-week fetus?

Misoprostol for cervical ripening prior to insertion of an IUD in nulliparous women not only did not improve ease of insertion for the provider but resulted in increased procedure-related pain.

Previous studies have reported a possible link between antihistamine use and birth defects, but there is no meaningful evidence that supports this association.

A 40-year-old woman reports a 20-week history of amenorrhea. What is your diagnosis based on these images?


• Leading experts discuss the emergence of certified nurse midwives into mainstream obstetric care. • Has your practice implemented collaborative care practices?

Ob/Gyns advocate for environmental policy changes to help safeguard reproductive health.

What is your diagnosis of this incidental finding during routine ultrasonography in a 15-week fetus?

A new study finds promising evidence that a lung cancer drug, when combined with methotrexate, has potential to spare women with ectopic pregnancies from surgery.

A birth plan should not be viewed as an advance directive but rather as a record of aspirations. Labor is a time of improvisation, and no one can foresee its course.

Birth defects and poor fetal growth are more substantial contributors to cerebral palsy than asphyxial birth events or inflammation, a new study finds.

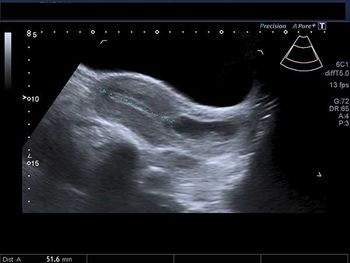
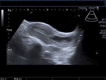
What is your diagnosis in this woman who presents with right hemipelvis pain?

Experience should prevail when choosing an antihypertensive for very high blood pressure during pregnancy, because the evidence supporting one drug’s use over another is lacking.