
Pregnant women who experienced certain stressful life events in the year preceding their delivery had an increased risk of stillbirth.

Pregnant women who experienced certain stressful life events in the year preceding their delivery had an increased risk of stillbirth.

In a group of diverse hospitals across multiple states, an improvement program substantially and rapidly decreased elective scheduled early-term deliveries to less than 5%.

The FDA has approved Diclegis for the treatment of nausea and vomiting in pregnancy.


Women with endometriosis who undergo surgery to treat the condition are less likely to have ovarian cancer develop later in life.

There is limited evidence that for transcervical chorionic villus sampling (CVS), the use of small forceps may be more effective and less painful than the use of an aspiration cannula.

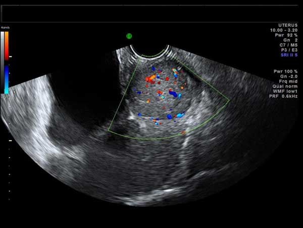
In a groundbreaking procedure, robotically assisted, ultrasound-guided laparoscopic surgery was performed successfully to tighten an incompetent cervix.


Recombinant pigment epithelium-derived factor (rPEDF) proposed as a novel physiological treatment for ovarian hyperstimulation syndrome (OHSS).

The risk of postoperative endometritis is reduced when a vaginal preparation of povidone-iodine is administered immediately before cesarean delivery.

There is no association between in utero exposure to selective serotonin reuptake inhibitors (SSRIs) and stillbirth, neonatal mortality, and infant growth rate during the first year of life, according to the results of 2 unrelated studies.


Even after stratification by hospital size, teaching status, and geographic location, rates of cesarean delivery among hospitals across the United States vary almost 10-fold-from a low of 7.1% to a high of 69.96%.

For the long protocol of down regulation in in vitro fertilization (IVF) cycles, are depot and daily gonadotropin-releasing hormone agonists (GnRHa) equally effective?

Physicians should recommend that their patients plan for vaginal deliveries rather than cesarean deliveries if there are no maternal or fetal indications for a cesarean. This is the position stated in a new committee opinion from the American College of Obstetricians and Gynecologists (ACOG) Committee on Obstetric Practice.

A physician and a malpractice attorney discuss the merits of ‘Apology and Disclosure’ programs and their role in obstetrical practice. Do they cut costs or create trouble?

An independent panel convened by the National Institutes of Health has concluded that there is insufficient evidence to adopt a 1-step approach to the diagnosis of gestational diabetes mellitus (GDM).


Hysteroscopic removal of polyps in women with unexplained infertility may increase their chances of becoming pregnant, concludes an intervention review conducted by the Cochrane Menstrual Disorders and Subfertility Group.

In patients with gestational diabetes mellitus, metformin is an effective alternative to insulin, according to the findings of a recent single-center randomized controlled study.


A study assessing the effectiveness of acetaminophen for neonatal pain relief found that use of acetaminophen shortly after birth may aggravate a subsequent stress response.


There is no evidence that plastic adhesive surgical drapes reduce surgical site infection rates, and some evidence that these drapes may increase infection rates, according to a third update of an intervention review and analysis conducted by the Cochrane Wounds Group.

Vitamin D deficiencies are common in women with primary ovarian insufficiency (POI), and serum levels of zinc, copper, and vitamin D appear to correlate with hormonal status, concluded a recent cross-sectional, case-control study.