
Ob/Gyns advocate for environmental policy changes to help safeguard reproductive health.

Ob/Gyns advocate for environmental policy changes to help safeguard reproductive health.

What is your diagnosis of this incidental finding during routine ultrasonography in a 15-week fetus?

A new study finds promising evidence that a lung cancer drug, when combined with methotrexate, has potential to spare women with ectopic pregnancies from surgery.

A birth plan should not be viewed as an advance directive but rather as a record of aspirations. Labor is a time of improvisation, and no one can foresee its course.

Birth defects and poor fetal growth are more substantial contributors to cerebral palsy than asphyxial birth events or inflammation, a new study finds.

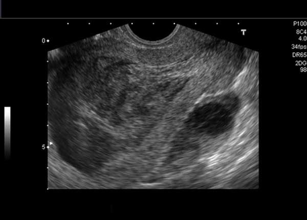
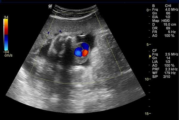
What is your diagnosis in this woman who presents with right hemipelvis pain?

Experience should prevail when choosing an antihypertensive for very high blood pressure during pregnancy, because the evidence supporting one drug’s use over another is lacking.

Low levels of adiponectin before pregnancy were associated with a 5-fold increased risk of gestational diabetes. This risk was 7-fold in obese or overweight women.

Low to moderate doses of topical corticosteroids in pregnancy was not associated with mode of delivery or with certain adverse neonatal outcomes, a study finds.

What is your diagnosis in this middle-aged woman with abnormal vaginal bleeding?

The findings of a recent study have shown that uterine fibroid tumors are more common and more severe in African American women compared with white women. Find out how you can better treat uterine fibroid tumors in this high-risk population.

What is your diagnosis based on these images of a 32-week pregnancy?

There is no evidence that UCP can be prevented, but rapid diagnosis and delivery have been shown to be advantageous. The authors present a plan to help you respond surely and swiftly.

The use of weighted vaginal cones for stress urinary incontinence is more effective than no treatment at all, the evidence shows.

Evidence shows that acupuncture seems to be the most effective intervention for preventing and treating pregnancy-related pelvic and back pain.

What is your diagnosis in this 3rd trimester fetus? Choose one from the following:

Mobile healthcare apps and devices are expected to grow at a rate of 61% a year, with 50% of healthcare professionals using at least one app. Ob/gyns are leading the charge, and these 8 apps are helping MDs and HCPs manage patients and stay current on everything happening in the field.

There is no evidence that intracytoplasmic morphologically selected sperm injection (IMSI) provides subfertile patients an additional benefit over the standard intracytoplasmic sperm injection (ICSI).

From these images, what would you diagnose in this patient?

Use of the newer Global Reference for fetal-weight and birthweight percentiles increases the identification of infant deaths by improved classification of abnormal newborn size at birth.

Depression over an extended period may make it more difficult for women to get pregnant.

Our malpractice lawyer counsels on a complicated case involving a delivery with an unexpected outcome and multiple health care providers involved.

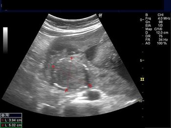
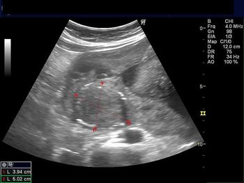
What is the correct diagnosis based on these images?

The risk of stillbirth in uncomplicated monochorionic twin pregnancies is severalfold higher than that for dichorionic twin pregnancies throughout the third trimester, concluded a systematic review and meta-analysis.

With 64% of pregnant women in the U.S. taking at least one medication during pregnancy, experts are arguing that it’s unethical not to include them in the testing of new drugs.