
The debate over Makena vs. 17p in the prevention of preterm birth continues. What do you prescribe?

The debate over Makena vs. 17p in the prevention of preterm birth continues. What do you prescribe?

Commercial fetal DNA tests, or noninvasive prenatal diagnosis (NIPD) tests, are here. Are we ready for the legal and ethical implications?

Nonpharmacologic treatment for urinary incontinence can result in significant benefit, making up to 100% difference in continence rates, with no adverse effects, according to a review by the Agency for Healthcare Research and Quality.

Researchers report that breast cancer is actually 10 different diseases, suggesting tumor-specific diagnosis and treatment may be in the future.

FDA has issued a warning to healthcare professionals that exposure to a contaminated generic ultrasound gel may result in bacterial infection.

Methods used during closing after a cesarean section affect intra-abdominal adhesions, according to a new study published in American Journal of Obstetrics & Gynecology.

Like many of my patients, my life revolves around information. Personally, I use the same technology as most of you to keep track of obligations and loved ones. Professionally, the Houston Fertility Center team uses technology and constant communication to manage our patients' treatment plans. In this era of digital info, we can all feel more empowered, more often, more quickly. It seems like there's always room for more information, doesn't it?

Are you performing a episiotomy on your patients during spontaneous vaginal deliveries?

Our patient is a 30 year old female with a history of mild pain during micturition.

Laparoscopy has been shown to be a safe and effective option for many diverse pelvic organ diseases, but how does the procedure fare during pregnancy? Due to the absence of large, comparative studies in pregnancy, there has been no definitive answer to this question. Now, researchers from Korea have found that laparoscopic surgeries can be safely used in women who are pregnant. Their results have been published in The Australian and New Zealand Journal of Obstetrics and Gynaecology.

Human papillomavirus vaccines provide still some benefit to women who have undergone treatment for HPV-related diseases, according to a new study published in the British Medical Journal.

In patients who need to lower their risk of cardiometabolic disorders, not consuming diet beverages can sometimes lower that risk a bit more.

Using ultrasound or MRI to augment mammography in women with elevated cancer risk and dense breast tissue benefits some patients-but not all.

In addition to the high personal costs to women who have vulvodynia, the disorder imposes a financial burden on the US economy.

Urinary incontinence plagues as many as 17% of women in the United States. Some medications claim to ease the disease burden, but how well do these medications work?

New screening guidelines for the prevention and early detection of cervical cancer are now largely based on the patient’s age, and testing for HPV DNA has now been incorporated into the screening process.

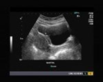
This is an ultrasound scan of the pelvis in 35 year old female patient.

Fatigue, which can plague patients’ years after cancer treatment has ended, may be the result of inflammation. Now, a new study published in the Journal of Clinical Oncology has found that omega-3 may help reduce fatigue associated with inflammation in these patients.

New screening guidelines for the prevention and early detection of cervical cancer are now largely based on the patient’s age and, for the first time, testing for human papillomavirus (HPV) DNA has been incorporated into the screening process.

Research has shown that glucocorticoid administration has a significant beneficial effect for preterm births, as it decreases the incidence of respiratory distress syndrome in infants delivered between 24 weeks and 34 weeks gestation, reduces the incidence of intraventricular hemorrhage, improves circulatory stability in premature infants, reduces the need for oxygen and ventilatory support, and reduces overall neonatal mortality.

IVF has made great strides in assisting women with infertility problems. However, many women believe that achieving pregnancy in their 40s is as simple as going to a fertility clinic.

Women with a history of breast cancer have a one in five chance that the cancer will recur within 10 years of treatment. With that in mind, researchers have developed a blood test that can detect cancer recurrence sooner and with more sensitivity than previous blood tests.

Last week, Choosing Wisely released a list of 45 overused tests and treatments as determined by nine major medical societies.

Vaginal delivery is associated with an increased likelihood of women developing long-term urinary incontinence up to 20 years after delivery.

Early-stage labor lasts longer today than 50 years ago, and the data suggest that the current clinical approach to labor and delivery are the reason for it.

Telling a patient about an adverse event is arguably one of the more difficult aspects of practicing medicine. When an adverse outcome does occur, a timely, honest, fact-based account can actually benefit the patient-physician relationship in that it can promote trust.

Although more than 500,000 hysterectomies are performed annually in the U.S. to treat benign pelvic diseases, most outcome studies of the procedure look at clinical factors such as operation time, surgical complications, and hospital stays while ignoring patient satisfaction and quality of life issues. Now, a new study published in Obstetrics & Gynecology has found that patients who receive laparoscopic hysterectomy may fare better than those who receive abdominal hysterectomy.

Here's a situation that illustrates how fantastic medical advances don't always translate to patients benefiting in the clinic. For that to happen, the science needs to be carried along a pipeline of practitioner communication, all the way to the patient.

A recent study shows that health care professionals continue to have misconceptions about the safety of IUDs for nulliparous women.

Using only this image, describe what phase of the menstrual cycle this patient is in.