
Pregnancy and Birth
Latest News
Advertisement
CME Content
Advertisement






















Normal 35 week pregnancy

An approx. 12 week fetus, first ultrasound of this pregnancy.

4D image of 29 weeks pregnancy, multiple anomalies: Clinch hand, omphalocoele, single atrium

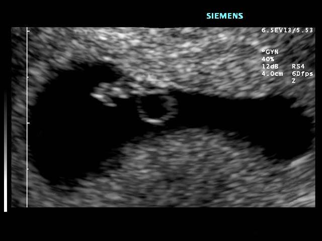
This is a confirmed case of scar ectopic pregnancy. Yesterday, I carried out this exam in an emergency room, without much time to perform an adequate sonogram, the patient did not feel good with “cramps” but no signs of bleeding.
Advertisement
Advertisement
Trending on Contemporary OB/GYN
1
Minipad-based HPV testing shows promise for cervical cancer screening
2
Study data highlight trade-offs of testing for pregnancy too soon
3
Kevin Ault, MD, on vaccines & autism, local government, HPV vaccine advocacy
4
Barbara Levy, MD, on importance of public comments on new cervical cancer screening guidance
5









