
Improving patient-doctor communication is the goal of genitourinary syndrome of menopause (GSM), the new name for vaginal atrophy and other menopause symptoms.

Improving patient-doctor communication is the goal of genitourinary syndrome of menopause (GSM), the new name for vaginal atrophy and other menopause symptoms.

It is now recommended that all adults, including pregnant women, get a flu shot. So how do you-or don't you-convince your more skeptical patients?

A weight management program (diet and exercise advice, weekly group meetings) helped obese pregnant women limit weight gain and have healthier babies.

Many women who suffer from moderate to severe vasomotor symptoms (VMS) appear to go untreated, potentially leading to work loss, according to a new study in Menopause.

According to a recent prospective cohort study in Human Reproduction, women who have a history of severe acne in their adolescent years may be at greater risk of developing endometriosis.

Ob/Gyns can help protect the health of postmenopausal women by reinforcing the message that micronutrients are important, especially in women as they age.

Just in case your patients ever ask, wearing a bra is in no way associated with breast cancer risk.

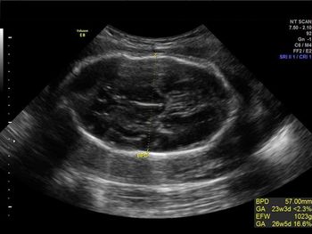
Challenge your diagnostic skills with this image of a fetal head.

A look at the methods Americans use to keep track of how they keep healthy.

Be it Pap tests, HPV tests, or both, cervical cancer screening is important. This article explores screening paradigms and offers a glimpse of what's to come.

This first installment in a 2-part series summarizes the abilities of 4 commercially available technologies for noninvasive prenatal testing.

The initial findings from the WHI were concerning, but subsequent detailed analysis and long-term follow-up of women enrolled in these trials have brought perspective.

New moms want guidance and support when it comes to breastfeeding, and they report that clinicians generally fail to provide either.

Vaginal misoprostol applied prior to intrauterine device (IUD) insertion does not make the procedure go any easier or lessen the patient’s pain, a Dutch study shows. And because the drug has side-effects, the research team suggests it probably shouldn’t be used at all for this purpose. Video provided by The Doctor's Channel.

This case demonstrates the utility of 3D ultrasound, using the coronal plane as a reference point, for patients with an IUD who have pelvic pain.

An ongoing study of African-American women with more than 16 years of follow up suggests that those who deliver very low birth weight or low birth weight infants may be at increased risk of Type 2 diabetes.

An analysis of data from 46 states and the District of Columbia shows that the level of Medicaid reimbursement for office visits has an impact on likelihood of patient screening with Pap tests and other diagnostics for cancer.

Pregnant women experiencing morning sickness may gain relief from Diclectin, a combination of doxylamine succinate and pyridoxine hydrochloride.

Get a glimpse at how complex the science behind nutritional supplements can be.

William Fredette, MD, discusses the benefits of Antiprogestin CDB-2914 for reducing uterine fibroid size and bleeding, and improving quality of life for affected women, as reported in the journal Fertility and Sterility. Video provided by The Doctor's Channel.

Mary Leuchars, MD, discusses the higher prevalence of malignant or pre-malignant polyps in women undergoing recession of indometrial polyps, who are also post-menopausal and who have abnormal uterine bleeding, as reported in the journal Obstetrics & Gynecology.

William Fredette, MD, discusses an updated practice guideline from the American Society of Clinical Oncology (published in the Journal of Clinical Oncology), where it calls on doctors caring for women at increased risk of breast cancer to discuss with them the risks and benefits of specific chemoprevention agents to lower their risk. Video provided by The Doctor's Channel and Reuters.

Writers emphatically agree with Dr. Lockwood's column on the ACP guideline regarding annual pelvic exams.

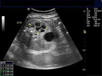
Challenge your diagnostic skills: See anything out of the ordinary in the kidneys of this third trimester fetus?

A recent study set out to determine why women often do not undergo reconstruction.

Spanning a full weekend, the 2-day course afforded the students the opportunity for 3 hours of hands-on scanning per day.

Codes for reporting complications of pregnancy, childbirth, and the puerperium are in chapter 15 of ICD-10-CM and begin with the letter O.

Obese children whose moms had gestational diabetes are about 6 times more likely to have diabetes or prediabetes than other obese children.

Vulvovaginal atrophy, or atrophic vaginitis, is now being called "genitourinary syndrome of menopause," or GSM, according to experts.

Ultrasound-based evaluation is less costly than an endometrial biopsy and also allows for evaluation of the adnexa and bladder.