
Early menopause-whether natural or surgical-may be associated with negative effects on cognitive function that are not entirely offset by postmenopausal hormone therapy (HT), according to a new study in BJOG.

Early menopause-whether natural or surgical-may be associated with negative effects on cognitive function that are not entirely offset by postmenopausal hormone therapy (HT), according to a new study in BJOG.

More than a third of women consider ob/gyns their primary care providers. To better meet the needs of their patients, one ob/gyn clinic offered different treatments for depression and compared the results.

The highest rates of cervical cancer occur in women aged 65 to 69, according to new estimates. This suggests that screening guidelines may need to be reconsidered.

Challenge your diagnostic skills: Can you identify this finding in the fetal chest?

New research shows that obstetricians may need to rethink how they screen certain patients for gestational diabetes mellitus.

Giving moms the Tdap vaccine in pregnancy seems to protect newborns from pertussis (whooping cough) and doesn’t seem to interfere with infant responses to DTaP.

The World Health Organization’s (WHO) Fracture Risk Assessment tool (FRAX) severely underestimates risk of fragility fracture (FF) in certain patients, according to a new study. Published in the Journal of Clinical Endocrinology & Metabolism, the findings are by Canadian investigators.

Women who engage in vigorous physical activity before a diagnosis of ovarian cancer may be at lower risk of dying of the disease, according to a new report by investigators from the Women’s Health Initiative (WHI).

According to a recent study in the Journal of the American Medical Association, the majority of Americans support universal coverage for birth control.

A routine ultrasound exam of a 28-week fetus revealed what looked to be a cystic lesion. The addition of Doppler, however, changed the diagnostic picture.

Taking omega-3 fatty acid docosahexaenoic acid (DHA) in pregnancy doesn’t make your offspring smarter but does make preterm delivery less likely.

New guidelines from the American Heart Association are designed to help practitioners make decisions when faced with caring for unborn babies with heart issues.

In certain industrialized nations, immigrant women from sub-Saharan Africa, Latina America, and the Caribbean may be at increased risk of preeclampsia and eclampsia.

A meta-analysis has shown that even small increases in a mother's BMI can increase the risk of fetal death, stillbirth, and neonatal, perinatal, and infant death.

A Canadian study shows that women with diabetes are significantly less likely to have mammograms, even after adjustment for socioeconomic status and other factors.

Is labor induction or expectant management better in term or post-term pregnancies? The findings from a new meta-analysis offer some insight.

New research finds that obstetricians may be overlooking an at-risk group for implementing stillbirth prevention strategies.

This case report features an underappreciated clinical entity-angular pregnancy. What do you know about this rare obstetric complication?

Injuries from known risks lead to different lawsuit outcomes.

Invasive prenatal diagnosis may soon be completely replaced by noninvasive assessment of maternal plasma cell-free DNA.

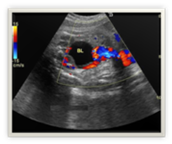
When endometrial ablation fails, ultrasound-guided reoperative hysteroscopic surgery helps patients avoid hysterectomy.

Real-feel devices and virtual reality headsets, both in the works and on the market, have applications for physicians and their patients.

Morris Wortman, MD performs an ultrasound-guided reoperative hysteroscopic surgery on a patient who had undergone endometrial ablation approximately 18 months earlier.

“The c-section you do today impacts the future health of the woman you’re caring for.” So said Aaron B. Caughey, MD, of Oregon Health & Science University, Portland, in his lunch-and-learn “The Cesarean Epidemic: Etiologies, Outcomes and Potential Solutions” on Monday. What’s more, he pointed out, “the c-section you do today leads to the repeat … [which] leads to the repeat … [which] leads to the accreta in 8 years.” But Caughey did not place blame for the so-called epidemic with either doctors or patients.

A small study presented at the 2014 ACOG Annual Clinical Meeting suggests that a selective estrogen receptor modulator (SERM) plus estrogen may have promise in treatment of perimenopausal symptoms. According to Japanese researchers, the combination-known as tissue-selective estrogen complex-improved climacteric symptoms and bone resorption markers without severe side effects.

Concerns about asymptomatic sexually transmitted infection (STI) in women at high risk should not delay placement of an intrauterine device (IUD) in women who also are at risk of undesired pregnancy, according to a study by investigators from the University of Pittsburgh. The results, in 366 patients from an inner-city clinic, were presented at the 2014 ACOG Annual Clinical Meeting.

A systematic review of Smartphone reminder applications (apps) by investigators at the Ohio State University shows that they may be useful as back-up reminders for patients on oral contraceptives (OCs). The research was presented at the 2014 ACOG Annual Clinical Meeting.

Strengthening pelvic floor muscles through yoga just may be helpful for women with urinary incontinence, particularly stress incontinence.

Challenge your diagnostic skills: Can you identify this anomaly of the fetal face and brain?

Contemporary OB/GYN editorial board member Ilana Cass, MD, offers perspective on the recent FDA approval of the first-ever alternative to Pap smear cytology cervical screening.