
The correct response to oligohydramnios and polyhydramnios hinges on timing, severity, and comorbidity.

The correct response to oligohydramnios and polyhydramnios hinges on timing, severity, and comorbidity.

Institutions around the country have responded to an FDA advisory by discouraging or banning power morcellation of uterine fibroids. Innovative methods of contained morcellation are now called for.

A reader describes a case of infertility due to genital tuberculosis.

The latest data on optimal timing of umbilical cord clamping, risks for maternal morbidity, and situations in which risks outweigh potential benefits.

Couples who have high cholesterol may have a harder time conceiving, according to a study released in May by The Journal of Endocrinology and Metabolism.

Although women are often thought of as the drivers for healthcare in their families, many face financial and logistical barriers to obtaining healthcare for themselves, according to a new study by the Kaiser Family Foundation.

The placenta, historically thought to be sterile, actually harbors a unique microbiome, say researchers at the Baylor College of Medicine in Houston, Texas. Notably, they found that the placental microbiomes they studied are most akin to the human oral microbiome, strengthening the proposed association between maternal dental health and certain fetal outcomes.

Using dabigatran anticoagulation treatment for pregnant women could potentially affect fetal blood coagulation, according to a study published in Obstetrics & Gynecology. Dabigatran may cross the placenta to the fetus.

A “broader perspective” and a “comprehensive multidimensional assessment” are necessary to establish a causal link between intrapartum hypoxic events and neonatal encephalopathy, according to the latest report from the American College of Obstetricians and Gynecologists (ACOG) Task Force on Neonatal Encephalopathy.

Four experts discuss the guidelines from the College of American Pathologists regarding placental examination.

Where in the US are women most likely to stop drinking before they get pregnant? Get a checkup? Take folic acid? The CDC recently asked these questions to find out how to reduce risky preconception behavior.

A bowel injury during salpingectomy leads to septic shock and amputation. What went wrong?

Cigarette smoking is down, but use of new tobacco products is on the rise. Patients may be fooled into thinking they are safe for use in pregnancy.

Low-income women in Massachusetts received roughly the same preventive care services after the state passed landmark healthcare insurance reform as they did under the previous Women’s Health Network (WHN), according to a new study in The Journal of Women’s Health.

A new analysis of data from a nationwide hospital-based dataset shows that black women have higher odds of being diagnosed with triple-negative breast cancer-a subtype associated with poorer prognosis-than do white women, regardless of socioeconomic status (SES). The report was published in the June issue of Breast Cancer Research and Treatment.

According to a recent study in Menopause, women who go through natural menopause at ages 40 to 45 may be at increased risk of developing heart failure and smoking may produce a similar risk among those who experience menopause at ages 46 to 49.

Postabortal placental polyps and uterine arteriovenous malformations can look identical on ultrasonography. Read how saline instillation sonohysterography helped discern the diagnosis.

Informed consent is more than just a signed consent form, says ethics blogger Paul Burcher, MD, PhD, who weighs in on a different way to think about this practice.

The extent and timing of maternal depression is being underestimated, according to new research, highlighting the need for improvement in maternal depression screening.

Glassware is the cute moniker that Google uses to describe the bevy of Google-approved applications that are ready-to-go with Glass. When you are logged into your MyGlass account, you can simply click on the Glassware tab (see below) and up will come not only the Google-selected "Featured Glassware," but also all of the Google-published Glassware. It is important to know that Google does encourage developers to "side-load" their own homegrown apps, but we will discuss that in a future post.

Finding 1: Urine isn’t sterile. Finding 2: All those bacteria in urine may not be so harmless. In fact, for some women, these microbes may cause overactive bladder.

Calcium supplements may not increase the risk of cardiovascular disease (CVD) according to a recent study in Osteoporosis International.

According to a new study in Cancer, the incidence of cervical cancer in older women may be higher than has been previously reported.

A new population-based study by Canadian researchers shows that women in the second trimester of pregnancy run a substantial risk of serious motor vehicle crash. The findings were published in the May 12 edition of The Canadian Medical Association Journal.

New research may have found a way to better predict whether women with threatened preterm labor are in true labor or false labor.

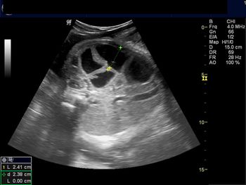
Challenge your diagnostic skills: Can you identify this finding in the fetal abdomen?

Lack of exercise among women 30 years and older has a greater impact on the lifetime risk of heart disease than other factors, a new study finds.

Sexual violence on college campuses may be more prevalent than you think. Are you asking patients the right questions about their sexual health?

A study of a nationally representative sample of hospitalized women who were pregnant or gave birth shows a link between obstructive sleep apnea and maternal death. The findings, published in SLEEP, point to a need for targeted interventions to improve pregnancy outcomes in women with apnea.

Women who are treated for depression at an ob/gyn clinic with a collaborative care approach may have improved outcomes, according to a recent study in Obstetrics & Gynecology.