
A review of new publications by the Update Committee for the American Society of Clinical Oncology found that the guidelines for the follow-up and management of patients with breast cancer who have completed treatment are still sound.

A review of new publications by the Update Committee for the American Society of Clinical Oncology found that the guidelines for the follow-up and management of patients with breast cancer who have completed treatment are still sound.

A National Institutes of Health-funded study published in the Journal of Biochemical and Molecular Toxicology provides evidence that exposure to the compound bisphenol A (BPA) during human pregnancy is considerable, and that elimination of BPA occurs more slowly in fetuses than in adults.

A mouse model suggests that prenatal treatment with neuroprotective peptides may have potential in improving learning performance in Down syndrome, according to researchers from the National Institute of Child Health and Human Development (NICHD).

Sleep apnea affects women and men differently because of sex-specific changes in the brain. This is the finding of researchers at the University of California at Los Angeles (UCLA)'s School of Nursing, School of Medicine, and Brain Research Institute.

Levels of exposure that are defined as 'safe' by the official limits, are actually having non-trivial adverse effects, according to new reports.

What do you make of this not-uncommon uterine problem? The patient is a middle aged woman with pelvic pain.

Applied relaxation techniques can effectively manage vasomotor symptoms of menopause, primarily hot flashes, in healthy women, according to the results of a new study conducted in Sweden.

Prostaglandin inhibitors, such as celecoxib and indomethacin, and calcium channel blockers, such as nifedipine and nicardipine, had the highest probability of delaying premature labor by 48 hours and improving maternal and neonatal outcomes, according to a systematic review and network meta-analysis published in a recent issue of BMJ.

Fear-not clinical indications-may be the driving force in women's decision-making about contralateral prophylactic mastectomy (CPM). That is the surprising conclusion from a population-based study presented by investigators from Michigan at the 2012 American Society of Clinical Oncology (ASCO) Quality Symposium in San Diego.

The 2011 US birth rate was the lowest ever recorded, according to a report by the Pew Research Center for its Social & Demographic Trends project. The decline was greatest in births to immigrant women.

A number of studies conclude that breast cancer screening has little to no effect on mortality. Is it time to scrap the practice?

For women undergoing fertility treatments, the use of selective serotonin reuptake inhibitors use may decrease pregnancy rates and increase miscarriage rates.

In our annual physician compensation survey, find out how your net income, salary, bonus, overhead, and work hours compare to other ob/gyns.

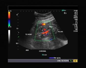
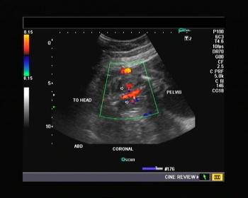
Name the vessels shown in this color Doppler image of a fetal abdomen in 22 week-old fetus. Is anything abnormal?

Long-acting reversible contraceptives (LARCs) are not only highly effective, they are appropriate under a variety of conditions. Here, the authors present 3 scenarios in which patients would benefit from LARC methods.

Contemporary OB/GYN's Editor-in-Chief makes his predictions about where healthcare is headed over the next four years.

A child whose mother experienced influenza or prolonged fever or was prescribed antibiotics for common infections while pregnant may be at an increased risk of autism spectrum disorder (ASD).

The sexual functioning, experiences, and behaviors of couples as they undergo assisted reproductive technology (ART) procedures have rarely been explored, according to researchers at Indiana University in Bloomington, Indiana.

In a commentary presented at the European Congress of Perinatal Medicine in Paris in June 2012, researchers from the United States, the United Kingdom, and Germany urged obstetric providers to discourage promoting home births as safe alternatives to births in hospitals.

Looking at the legal issues surrounding non-timely referrals delaying cancer diagnoses, brachial plexus injuries, maternal sepsis, bowel perforation, and shoulder dystocia ending in paralysis.

A population-based study by the Centers for Disease Control and Prevention (CDC) shows that black women have a lower incidence of breast cancer than white women-but a 41% higher rate of death because of the disease.

A look at how periodontal can affect a woman's pregnancy and the likelihood of preterm birth.

Taking selective serotonin reuptake inhibitors (SSRIs) during pregnancy may put women at risk of miscarriage and preterm birth (PTB) and also put their babies at risk of a number of health and developmental complications, according to a recent study.

Osteoporosis, pelvic organ prolapse, and incontinence are common in postmenopausal women. Basic research has also implicated collagen and extracellular matrix abnormalities in these conditions.

Women taking atypical antipsychotic medications (AAPs) have about a 3-fiold higher prevalence of lower urinary tract symptoms (LUTS) compared with nonusers, a study on the presence of LUTS among users of psychoactive medications has found.

Use of surgical mesh to correct vaginal vault prolapse after a hysterectomy is associated with a lower risk of prolapse recurrence at 1 year than sacrospinous fixation (SSF), according to results of a new study

ObGyns are among the least likely physicians to accept new Medicare patients, and more physicians will likely begin refusing Medicare patients if the 27% cut in Medicare reimbursement goes through in 2013. What will you do?

The available evidence that selective estrogen receptor modulators (SERMs) can reduce the size of fibroids or improve clinical symptoms is inconsistent, according to the results of an updated intervention review conducted by the Cochrane Menstrual Disorders and Subfertility Group.

Worldwide, 15 million babies are born at less than 37 weeks of gestation, and more than 1 million babies die every year from complications related to prematurity.

While unreliable data may call into question the accuracy of CDC statistics, it's likely that maternal mortality rates are rising in the U.S. From obesity to advanced maternal age, an increase in C-sections to unequal access to care, here’s a look at contributing factors and how we can manage them.